Go back
        Prostate lesion with high b-value DWI
        
            Kumamoto Chuo Hospital, Japan        
     
    
    
    
        Gallery
        
    
        - 
      
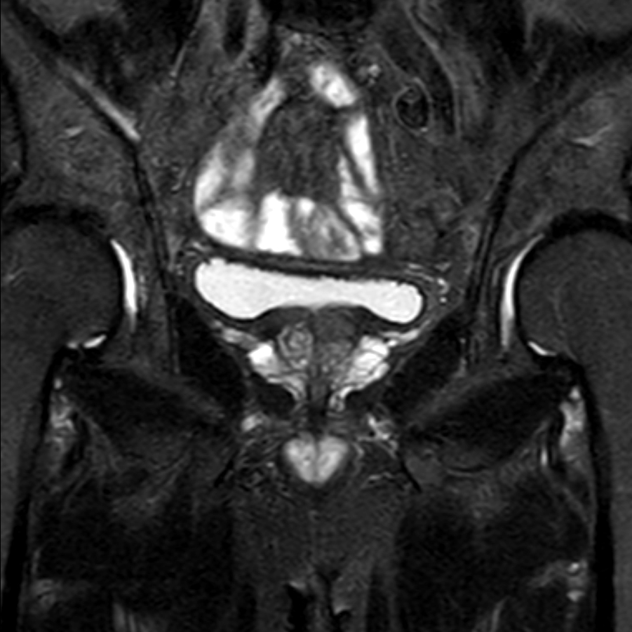
         Coronal T2w TSE FatSat
- 
      
         Axial T2w TSE
- 
      
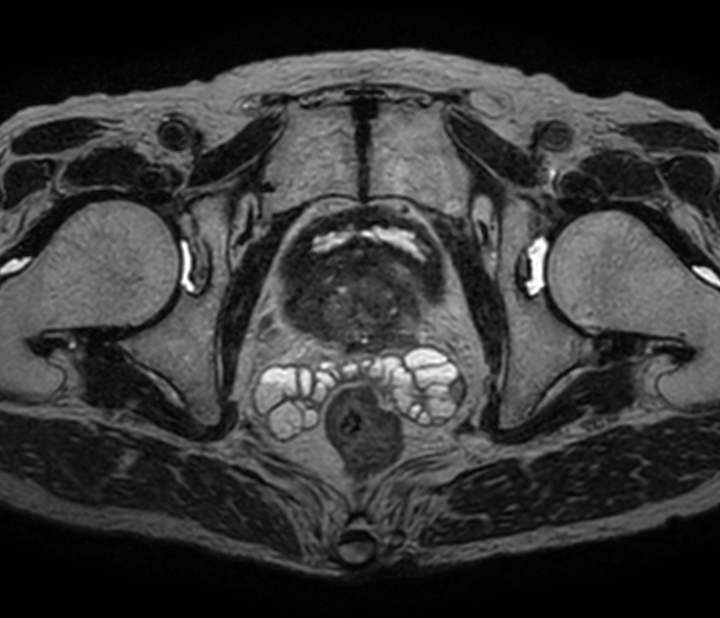
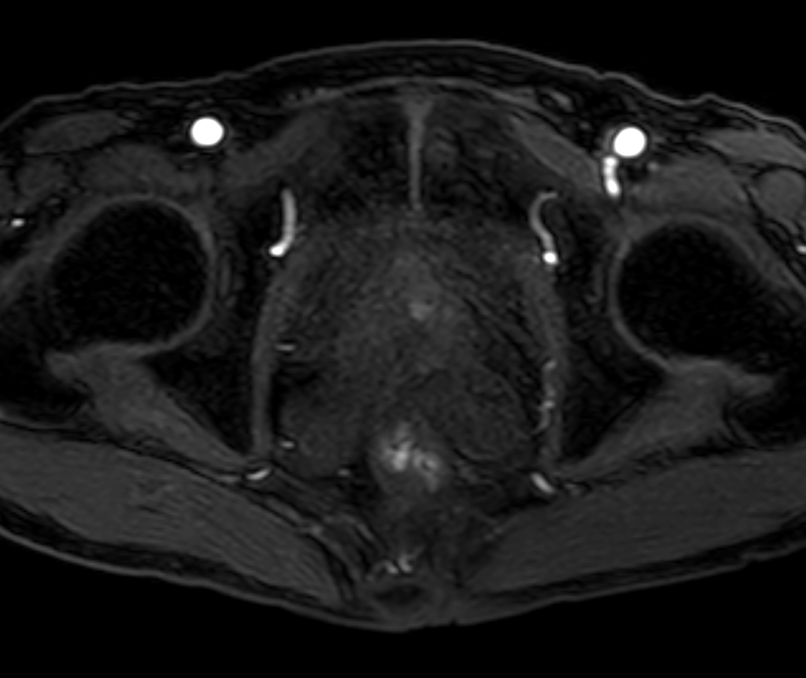
         Axial T1w TSE
- 
      
         Axial DWI (b1000, ADC)
- 
      
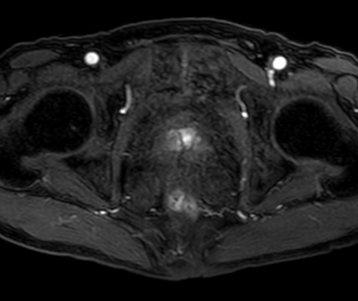
         Axial DWI (b2000)
- 
      
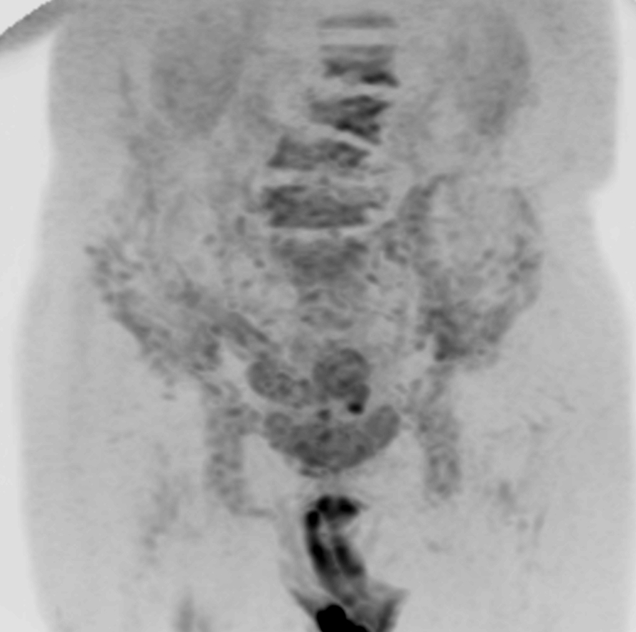
         Coronal DWIBS (MIP)
- 
      
         Axial 3D T2w TSE PelvisVIEW
- 
      
         3D T2w TSE PelvisVIEW - Coronal reformat
- 
      
         3D T2w TSE PelvisVIEW - Sagittal reformat
- 
      
         Axial dynamic T1w mDIXON XD - Permeability 1:04 min
- 
      
         Axial dynamic T1w mDIXON XD - Permeability 1:27 min
- 
      
         Axial dynamic T1w mDIXON XD - Permeability
                    
             
- 
      
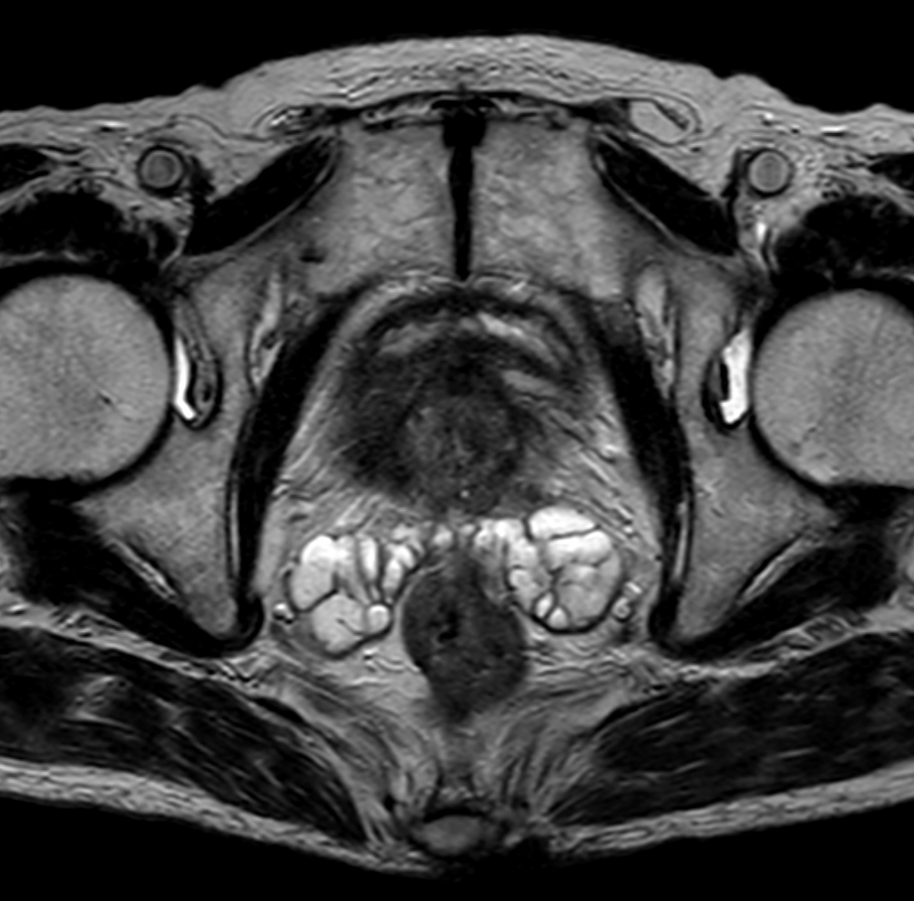
         Axial eTHRIVE + gado
Previous
    Next         
    
    Close
    
    
        
        Resolution
ScantimeObjective
    
     
             
    
        
            *Results from case studies are not predictive of results in other cases. Results in other cases may vary.