Go back
        Advanced Brain imaging
        
            Krankenhaus der Barmherzigen Brüder, Trier, Germany        
     
            
            
                
Patient information
                50 Year old male. Post-operative examination after tumor resection.            
        
    
    
    
        Gallery
        
    
        - 
      
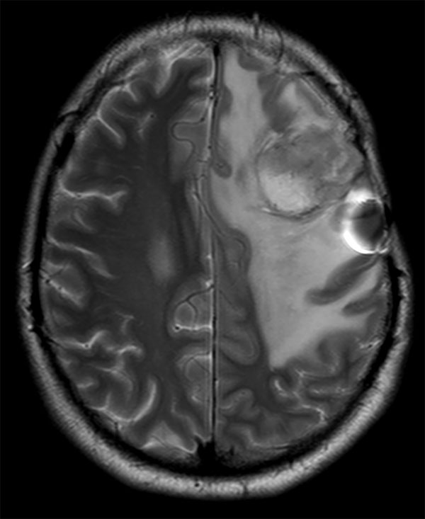
         Axial T2w TSE
- 
      
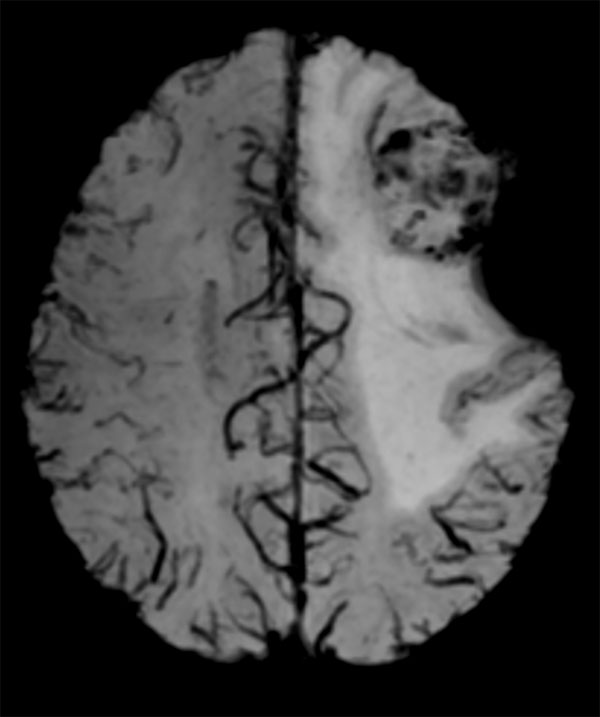
         Axial Venous BOLD
- 
      
         BrainView Flair
- 
      
         Axial Diffusion Tensor Imaging (15 directions)
- 
      
         Diffusion Tensor Imaging - Fibertrak
- 
      
         Diffusion Tensor Imaging Fibertrak
                    
             
- 
      
         Axial T2* Perfusion
- 
      
         Axial T1w SE (post gado)
- 
      
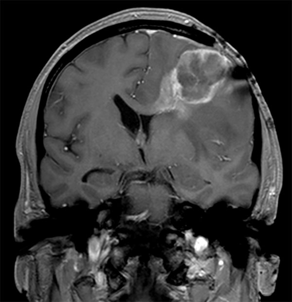
         Coronal T1w FFE (post-gado)
- 
      
         2D PRESS CSI
- 
      
         2D PRESS CSI
- 
      
         Axial T2w MultiVane XD
- 
      
         Coronal T2w MultiVane XD
- 
      
         Sagittal T2w MultiVane XD
Previous
    Next         
    
    Close
    
    
        
        Resolution
ScantimeObjective
    
     
             
    
        
            *Results from case studies are not predictive of results in other cases. Results in other cases may vary.