Go back

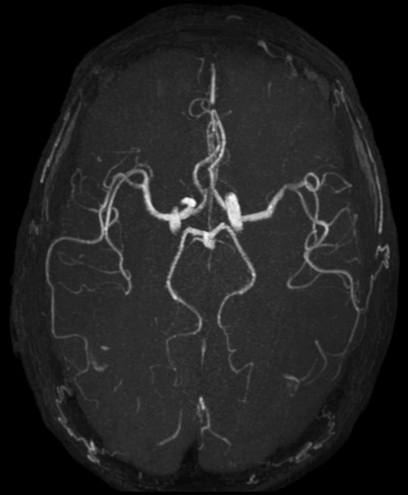
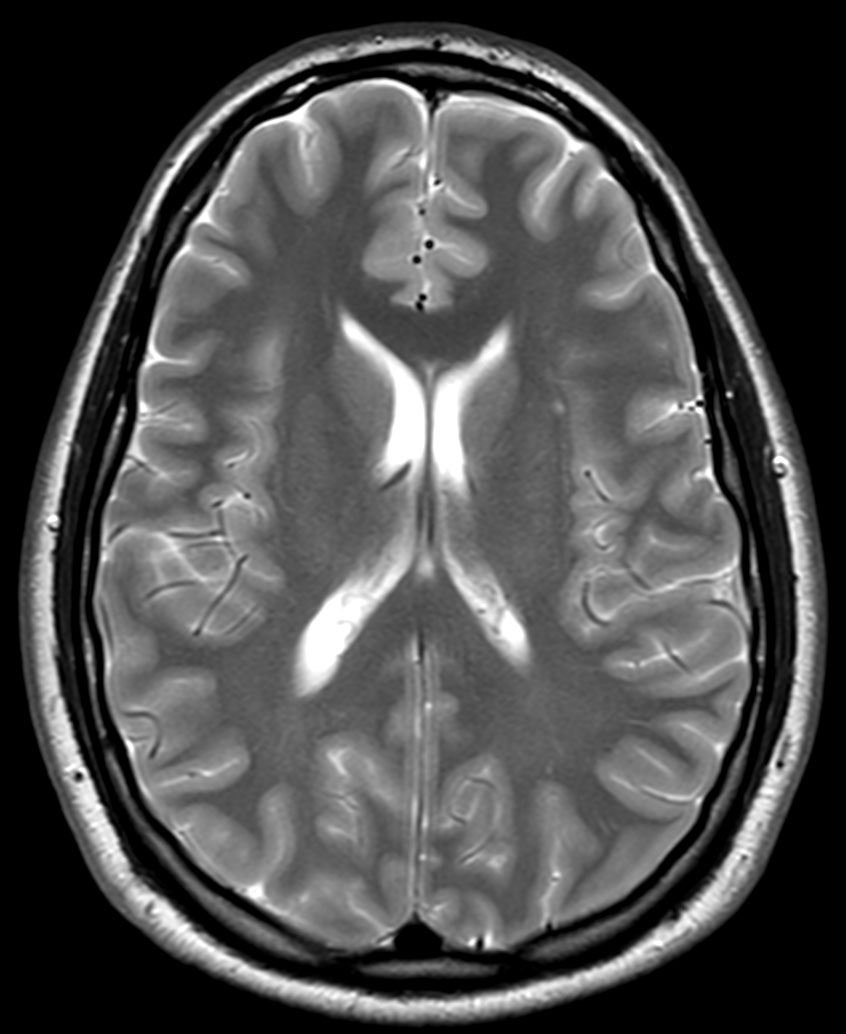
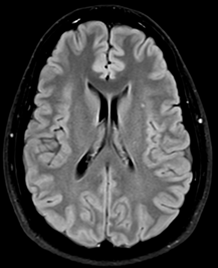
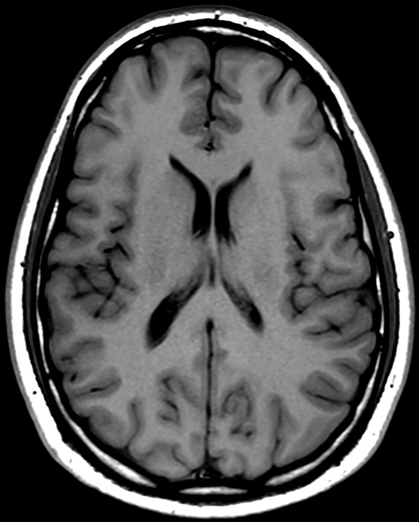
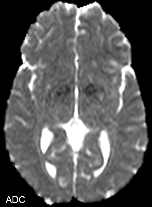
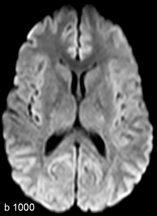
Brain imaging using ComforTone

Used Solution

*Results from case studies are not predictive of results in other cases. Results in other cases may vary.