Go back
        Total Torso imaging
        
            University Hospital, Leuven, Belgium        
     
            
            
                
Patient information
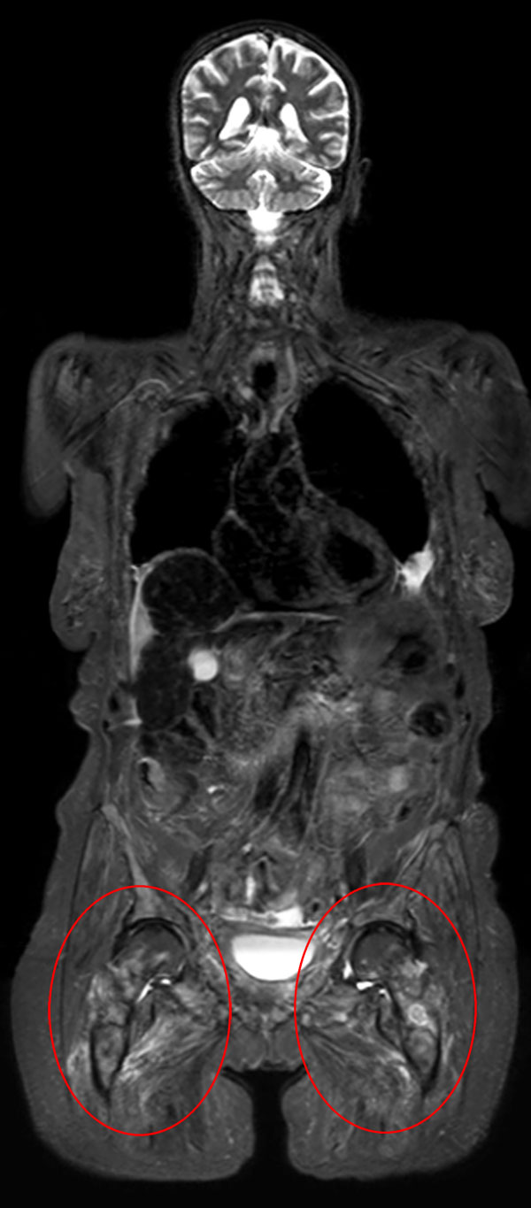
                Patient with bone lesions.            
        
    
    
    
        Gallery
                
    
    Close
    
    
        
        Resolution
ScantimeObjective
    
     
             
    
        
            *Results from case studies are not predictive of results in other cases. Results in other cases may vary.