Go back
        Sinus imaging with mDIXON XD
        
            Kurashiki Central Hospital, Kurashiki, Japan        
     
    
    
    
        Gallery
        
    
        - 
      
         Axial mDIXON XD - T2w TSE (Water only)
- 
      
         Axial mDIXON XD - T2w TSE (In Phase)
- 
      
         Axial mDIXON XD - T1w TSE (Water only)
- 
      
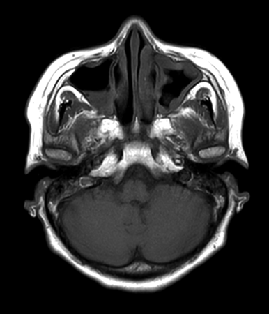
         Axial mDIXON XD - T1w TSE (In Phase)
- 
      
         Axial DWI EPI (b1000)
- 
      
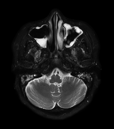
         Axial DWI TSE (b1000)
- 
      
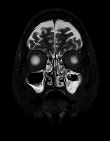
         Coronal T2w STIR
Previous
    Next         
    
    Close
    
    
        
        Resolution
ScantimeObjective
    
     
             
    
        
            *Results from case studies are not predictive of results in other cases. Results in other cases may vary.