Go back

Helium-free MR operations:
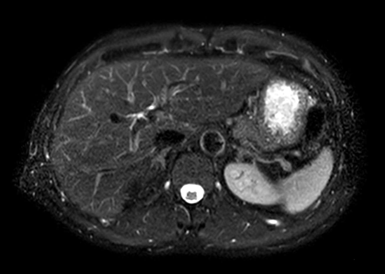
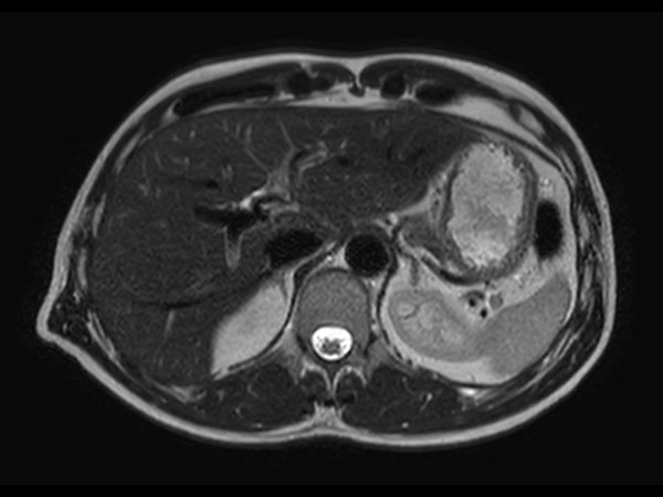
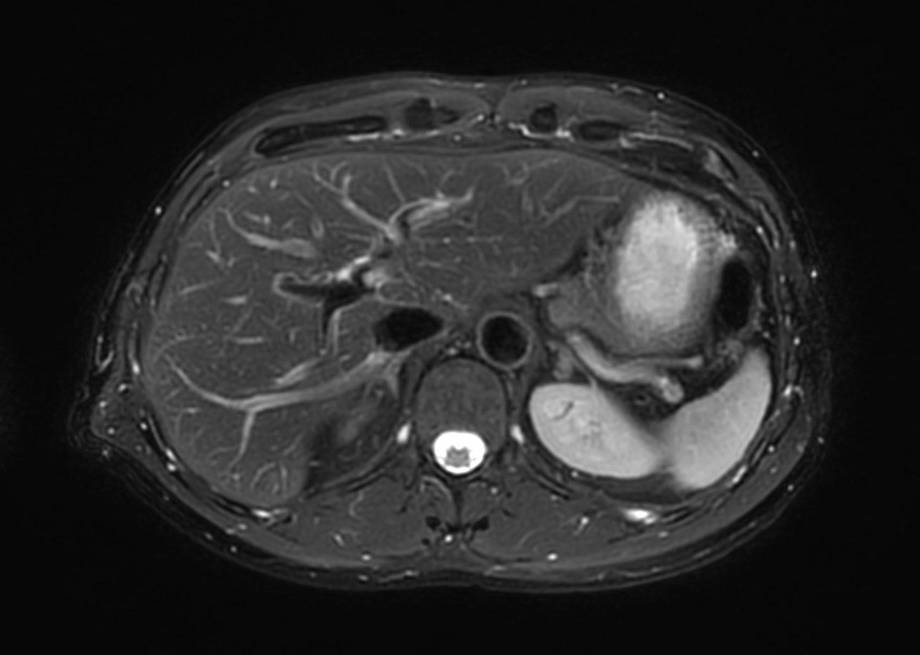
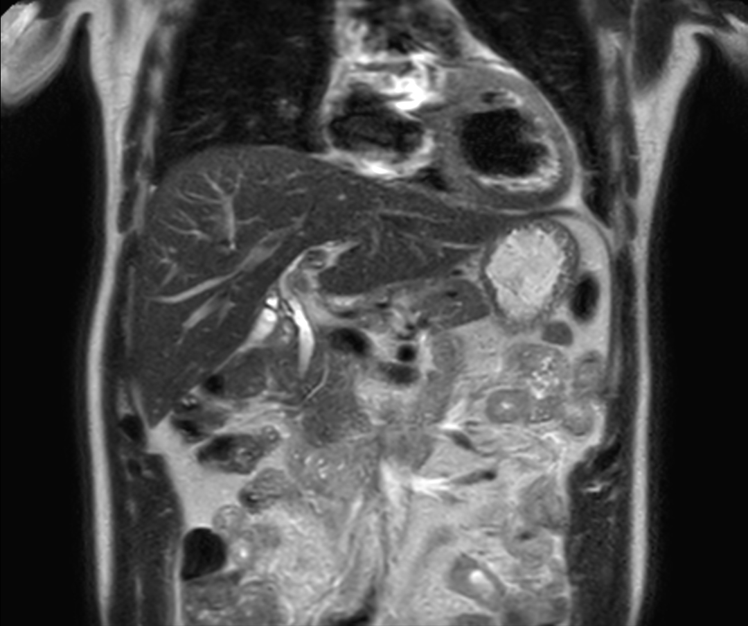
Liver on BlueSeal magnet

Spital Uster, Switzerland

Used Solution

  • System

  • Coil

  • Clinical Application

*Results from case studies are not predictive of results in other cases. Results in other cases may vary.