Go back
        Brain and IAC
        
            Auckland Radiology Group, New Zealand        
     
            
            
                
Patient information
                Imaging of the IAC and Brain with the dS Head 32ch coil. 3D DRIVE method is used to improve fluid visualization in IAC and reduce acquisition times while maintaining both contrast-to-noise and signal-to-noise ratio. MultiVane XD is used for brain imaging to deliver high resolution diagnostic images even in the case of patient motion. SWIp is used for 3D susceptibility weighted brain imaging due to its high sensitivity for deoxygenated (venous) blood or calcium deposits. Compressed SENSE is used to speed up the entire exam with virtually equal image quality.2.            
        
    
    
    
        Gallery
        
    
        - 
      
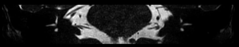
         IAC - T2w TSE 3D DRIVE Compressed SENSE
- 
      
         IAC - T2w TSE 3D DRIVE (Right oblique reformat) Compressed SENSE
- 
      
         IAC - T2w TSE 3D DRIVE (Right Spin MIP) Compressed SENSE
                    
             
- 
      
         IAC - T2w TSE 3D DRIVE Compressed SENSE
- 
      
         IAC - T2w TSE 3D DRIVE (Left oblique reformat) Compressed SENSE
- 
      
         IAC - T2w TSE 3D DRIVE (Left Spin MIP) Compressed SENSE
                    
             
- 
      
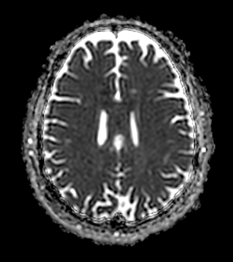
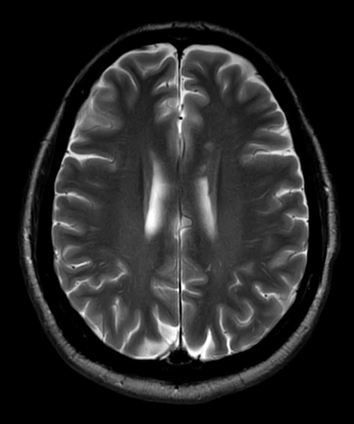
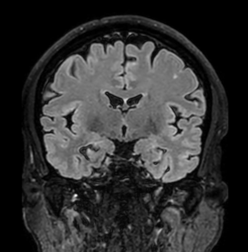
         T2w TSE MultiVane XD
- 
      
         T2w TSE MultiVane XD
- 
      
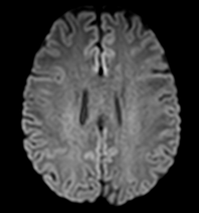
         Diffusion b1000
- 
      
         Diffusion b1000 (ADC)
- 
      
         SWIp (minIP) Compressed SENSE
- 
      
         SWIp (Phase) Compressed SENSE
- 
      
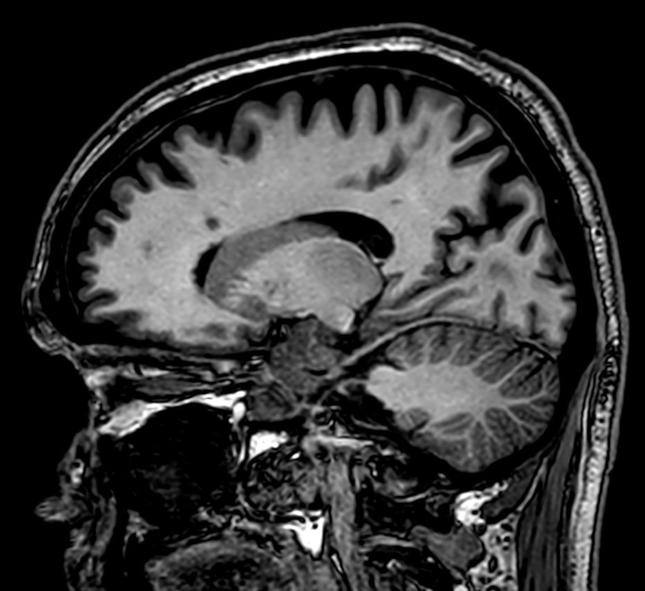
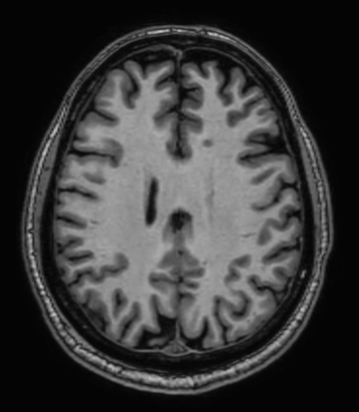
         3D T2w FLAIR Compressed SENSE
- 
      
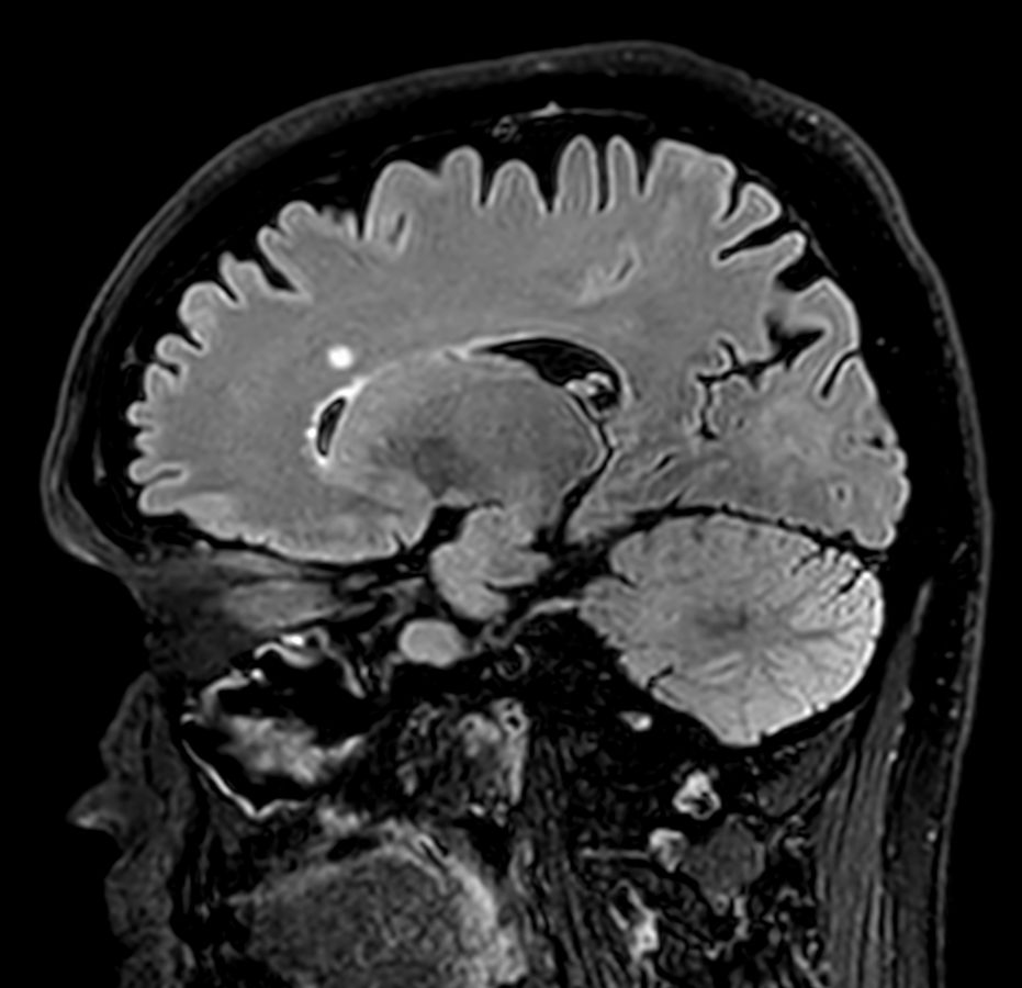
         3D T2w FLAIR (Reformat) Compressed SENSE
- 
      
         3D T2w FLAIR (Reformat) Compressed SENSE
- 
      
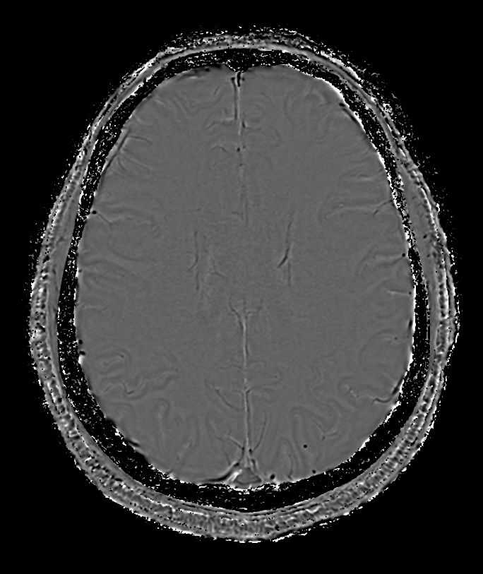
         3D T1w FFE Compressed SENSE
- 
      
         3D T1w FFE (Reformat) Compressed SENSE
- 
      
         3D T1w FFE (Reformat) Compressed SENSE
- 
      
         MRA CoW (Spin) Compressed SENSE
                    
             
- 
      
         MRA CoW (Tumble) Compressed SENSE
                    
             
Previous
    Next         
    
    Close
    
    
        
        Resolution
ScantimeObjective
    
     
             
    
        
            *Results from case studies are not predictive of results in other cases. Results in other cases may vary.
1 Compared to scans without Philips Compressed SENSE.