Go back
Lumbar Spine fracture with SmartSpeed Precise
Kumamoto Chuo Hospital Japan
Gallery
-
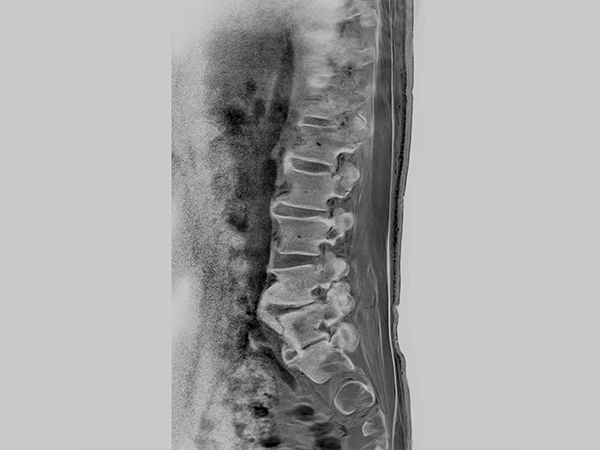
Sagittal T2w TSE
-
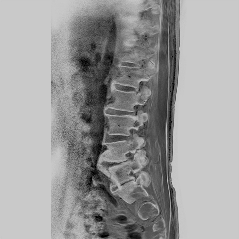
Sagittal T1w TSE
-
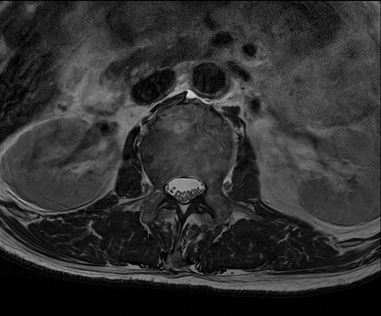
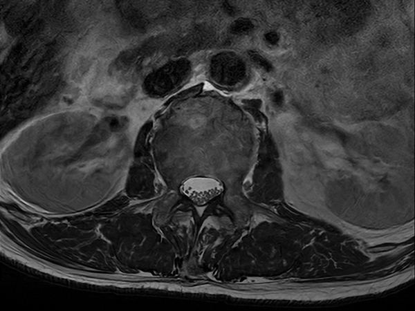
Axial T2w TSE
-
Sagittal CWI FFE
-
Coronal 3D WATS
Previous
Next
Close
Resolution
ScantimeObjective
*Results from case studies are not predictive of results in other cases. Results in other cases may vary.