Go back
Liver metastasis with SmartSpeed Precise
Hamamatsu Medical University Japan
Gallery
-
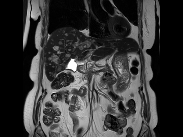
Coronal T2w SSh
-
Axial T2w SSh
-
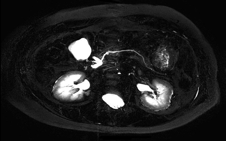
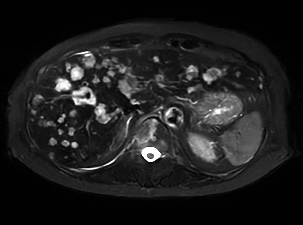
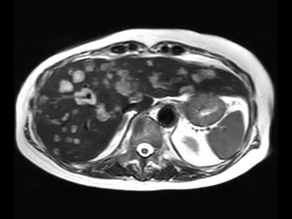
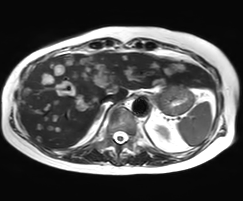
Axial Heavy T2w SSh FatSat
-
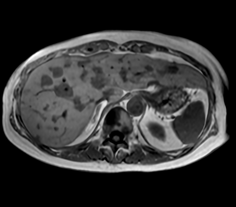
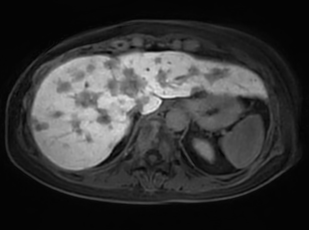
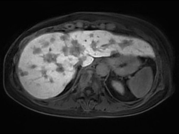
Axial T1w FFE (In Phase)
-
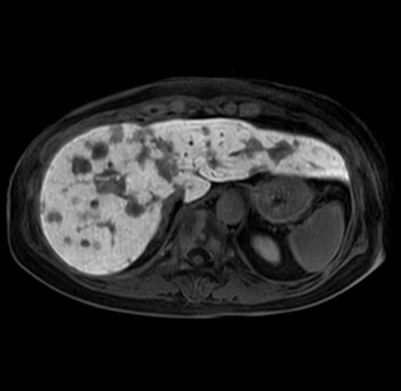
Axial T1w FFE (Out Phase)
-
Axial T2* FFE
-
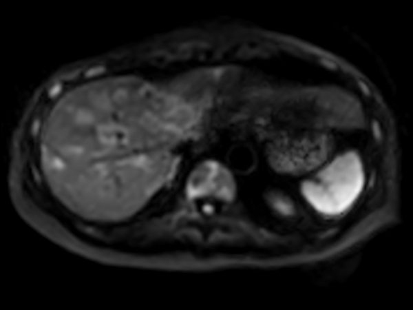
Axial DWI b200
-
Axial DWI b800
-
Axial DWI ADC
-
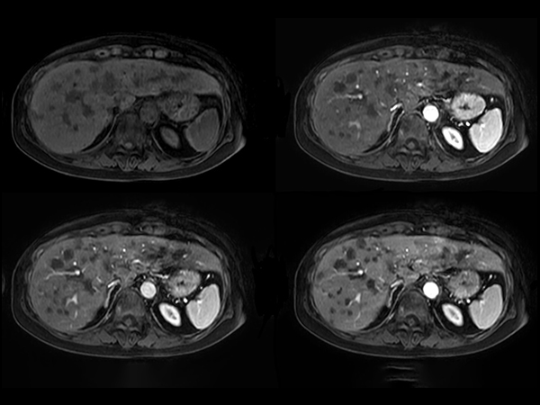
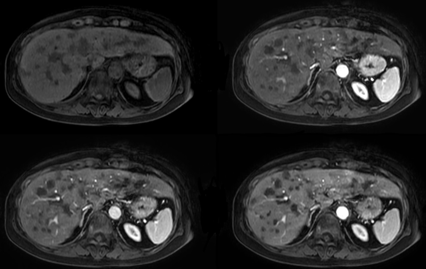
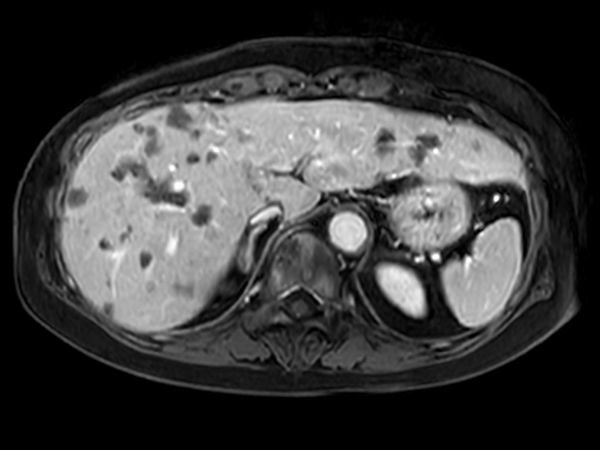
Axial Dynamic eTHRIVE
-
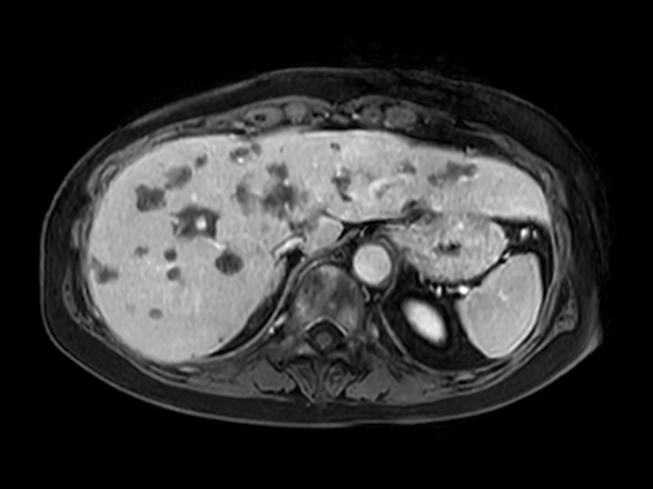
Axial eTHRIVE 90 sec Post gado
-
Axial eTHRIVE 2 min Post gado
-
Axial eTHRIVE 3 min Post gado
-
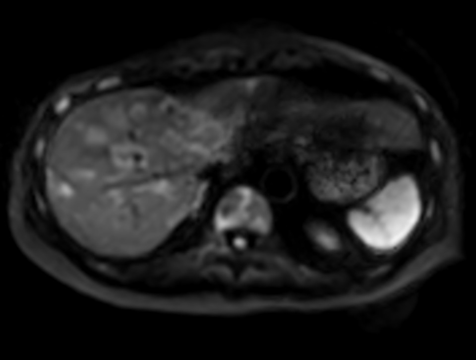
Axial eTHRIVE 15 min Post gado
-
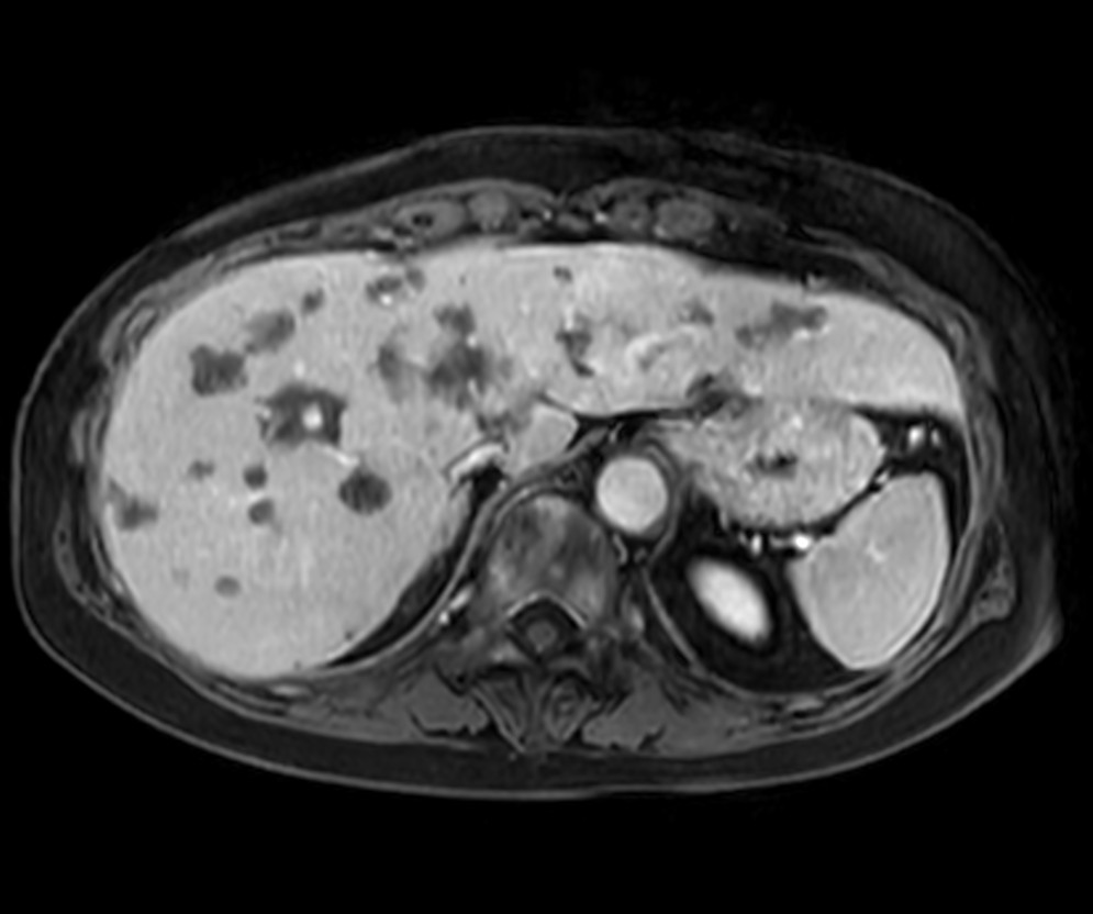
Axial 3D VANE Post gado
-
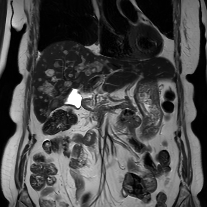
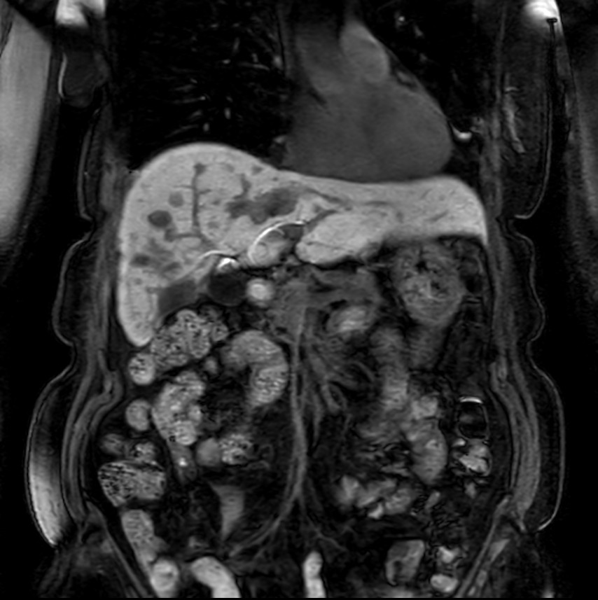
Coronal eTHRIVE Post gado
-
Coronal MRCP SSh
-
Axial MRCP 2D
-
mDIXON Quant
Previous
Next
Close
Resolution
ScantimeObjective
*Results from case studies are not predictive of results in other cases. Results in other cases may vary.