Patient information
ExamCard for automated brain image analysis with MR NeuroQuant*. Automatic segmentation and measure of volumes of brain structures and comparing these volumes to standard norms. Convenient and cost-effective means to gain reliable, objective measurements of neurodegeneration, helping to reduce the subjectivity of the diagnosis.
Gallery
-
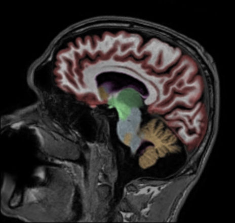
Sagittal 3D T1w TFE with NeuroQuant segmentation
-
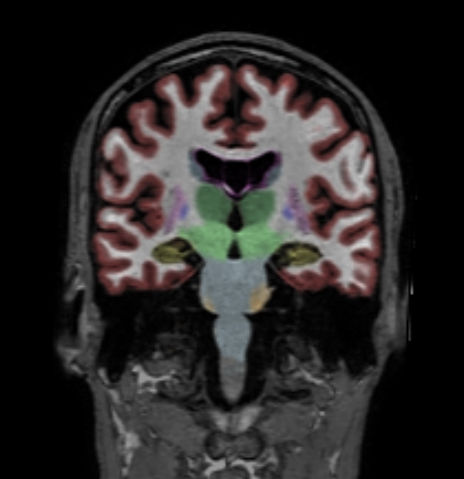
Coronal reformat 3D T1w TFE with NeuroQuant segmentation
-
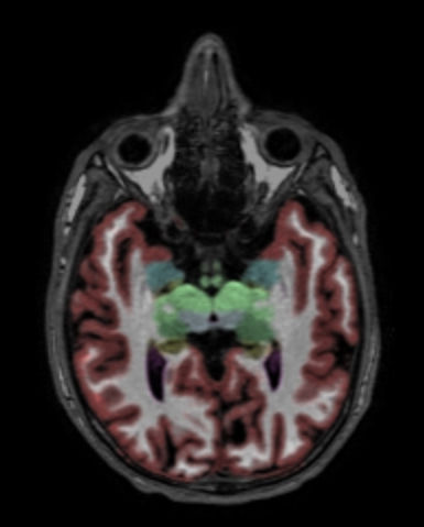
Axial reformat 3D T1w TFE with NeuroQuant segmentation
-
NeuroQuant - Morphology report
-
NeuroQuant - Hippocampal volume and asymmetry report
-
NeuroQuant - Age related atrophy report
-
NeuroQuant - Triage brain atrophy
Previous
Next
Close
Resolution
ScantimeObjective
*1 NeuroQuant is a trademark of CorTechs Labs, Inc.
Results from case studies are not predictive of results in other cases. Results in other cases may vary.