Go back
Comprehensive Brain with MultiBand SENSE DTI
Picture This, Mumbai, India
Patient information
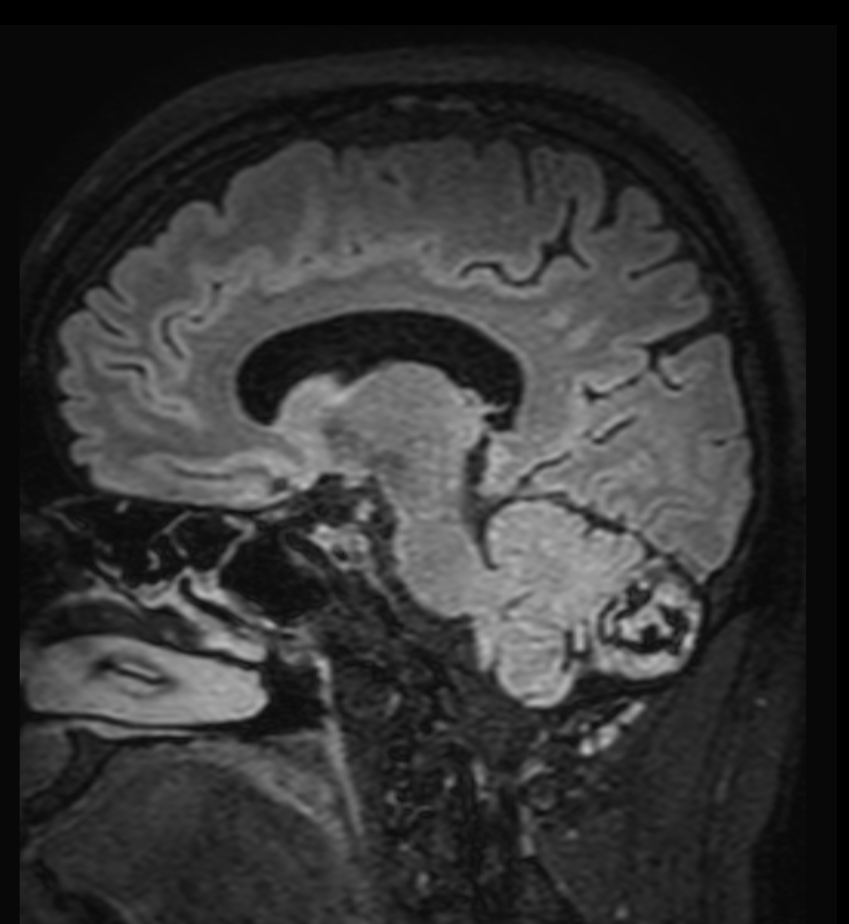
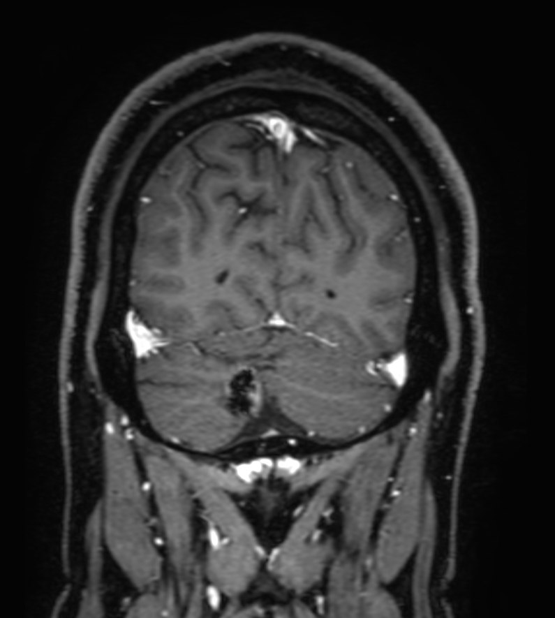
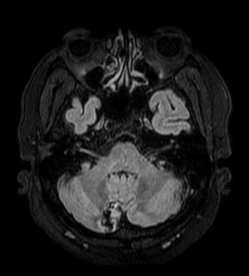
Patient with a lesion in the cerebellum. The ExamCard includes Compressed SENSE to accelerate the entire exam and techniques for motion reduced imaging (MultiVane XD), 3D imaging to acquire high resolution data in multiple directions, 3D susceptibility weighted imaging (SWIp), angiography sequences (Time-of-Flight and Contrast-Enhanced MRA with both arterial and venous phases), DTI with MultiBand SENSE to acquire a high number of diffusion directions in a short scan time and EPIC Brain to bring down any residual distortion.
Gallery
-
T2w TSE MultiVane XD
-
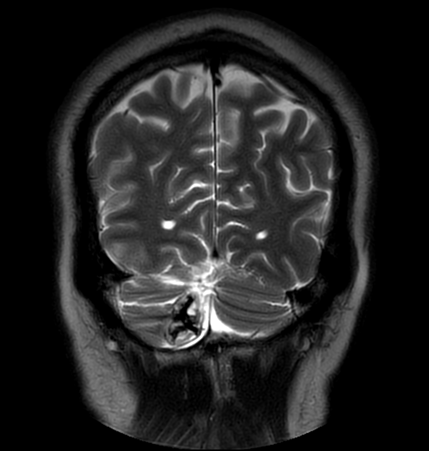
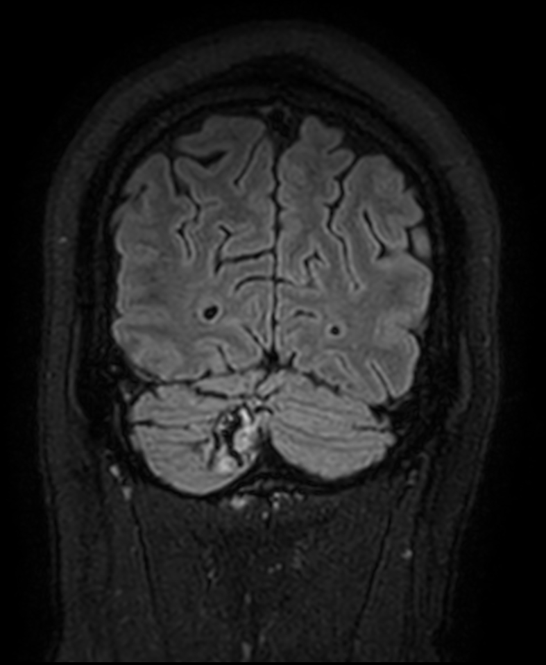
T2w TSE MultiVane XD
-
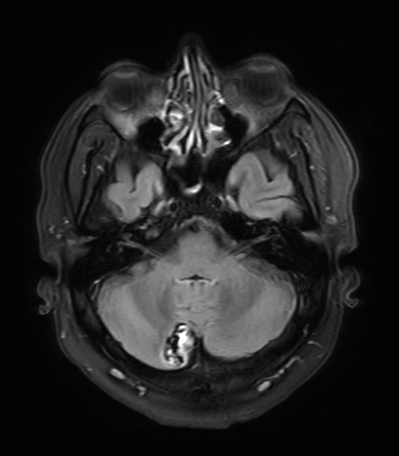
T2w FLAIR Compressed SENSE
-
SWIp (minIP)
-
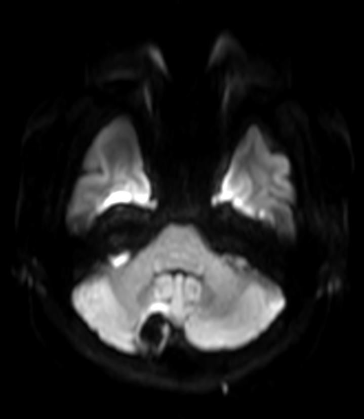
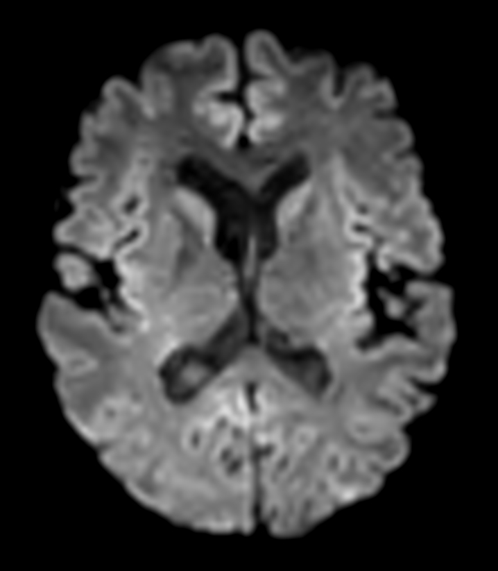
DWI b1000
-
3D T2w FLAIR Compressed SENSE
-
3D T2w FLAIR (reformat) Compressed SENSE
-
3D T2w FLAIR (reformat) Compressed SENSE
-
TOF MRA (MIP)
-
CE MRA (arterial phase) Compressed SENSE
-
CE MRA (venous phase) Compressed SENSE
-
T1w FFE Compressed SENSE
-
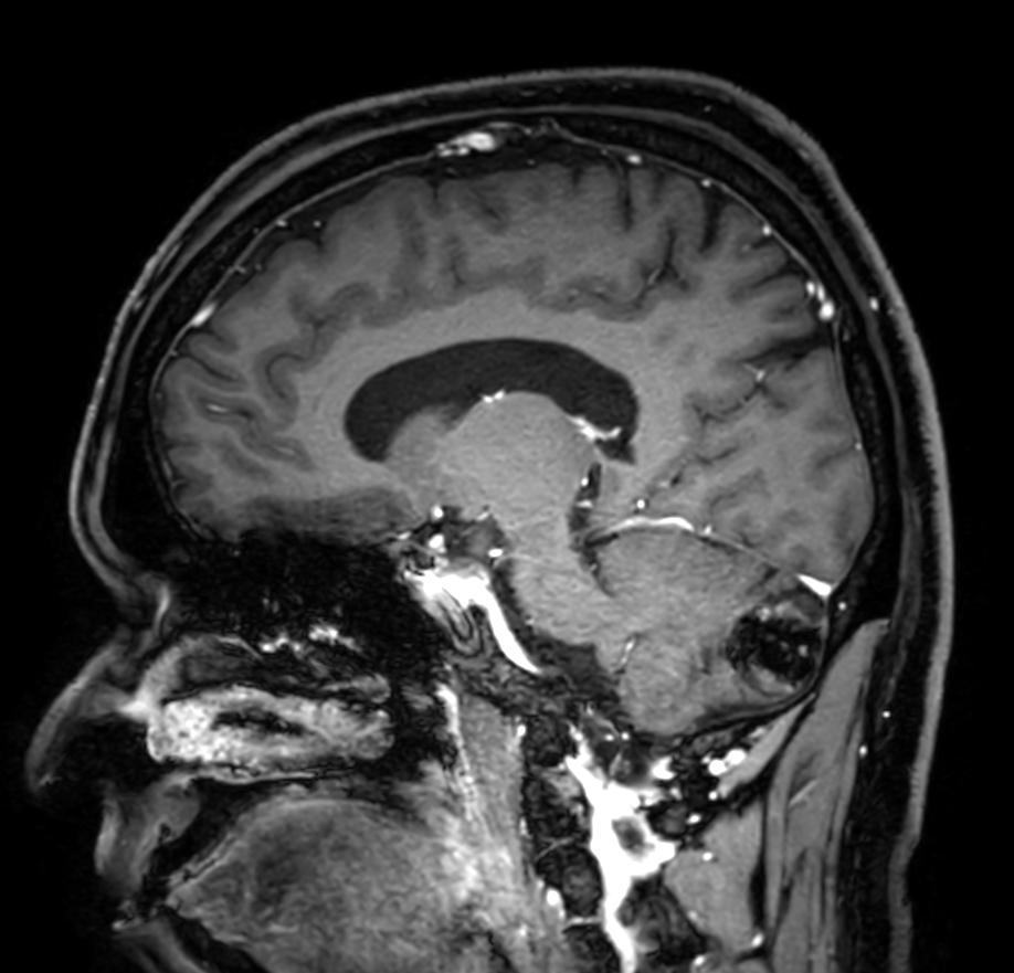
T1w FFE post-gado Compressed SENSE
-
3D T1w FFE FatSat post-gado Compressed SENSE
-
3D T1w FFE FatSat post-gado (reformat) Compressed SENSE
-
3D T1w FFE FatSat post-gado (reformat) Compressed SENSE
-
DTI b800 15 directions
-
DTI b800 15 directions (FA map)
-
DTI b800 MultiBand SENSE 32 directions
-
DTI b800 MultiBand SENSE 32 directions (FA map)
-
DTI b800 15 directions with EPIC Brain
-
DTI b800 15 directions without EPIC Brain
Previous
Next
Close
Resolution
ScantimeObjective
*Results from case studies are not predictive of results in other cases. Results in other cases may vary.