Go back
Helium-free MR operations:
Wrist/Hand on BlueSeal magnet
Spital Uster, Switzerland
Gallery
-
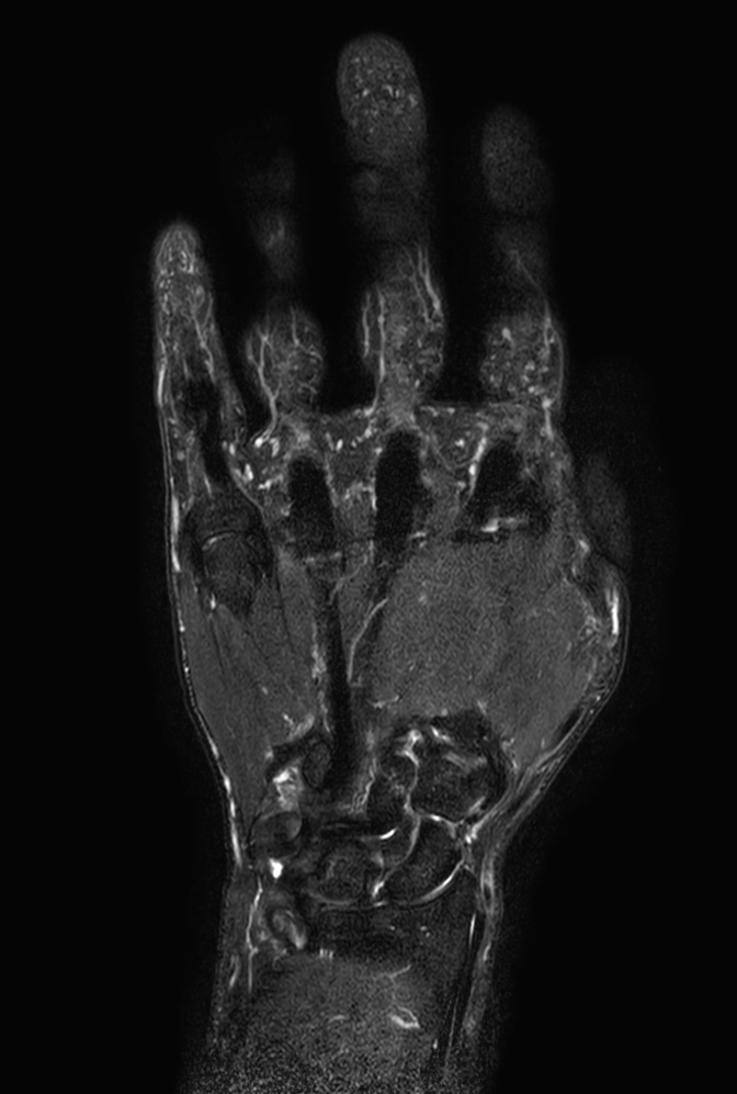
Coronal T1w TSE
-
Coronal T1w TSE mDIXON XD (In Phase)
-
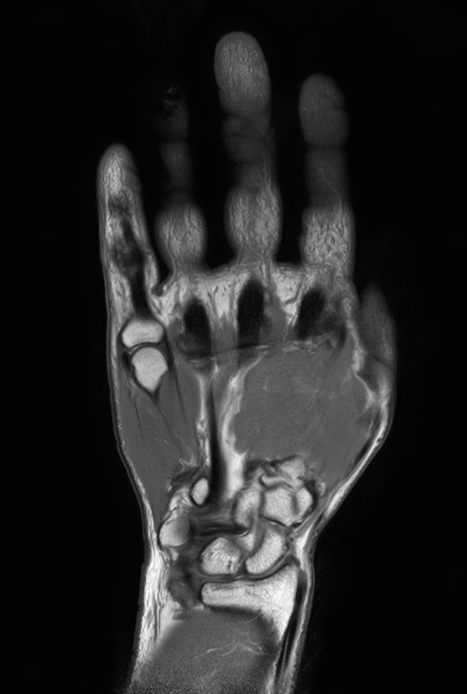
Coronal T1w TSE mDIXON XD (Water only)
-
Coronal T2w TSE
-
Coronal T2w TSE mDIXON XD (In Phase)
-
Coronal T2w TSE mDIXON XD (Water only)
-
Coronal PDw TSE
-
Coronal PDw TSE mDIXON XD (In Phase)
-
Coronal PDw TSE mDIXON XD (Water only)
-
Coronal STIR TSE
-
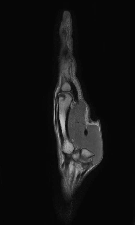
Sagittal PDw TSE mDIXON XD (In Phase)
-
Sagittal PDw TSE mDIXON XD (Water only)
-
Axial T1w TSE
-
Axial T2w TSE
-
Axial STIR TSE
Previous
Next
Close
Resolution
ScantimeObjective
*Results from case studies are not predictive of results in other cases. Results in other cases may vary.