Go back
Helium-free MR operations:
Female Pelvis on BlueSeal magnet
Spital Uster, Switzerland
Gallery
-
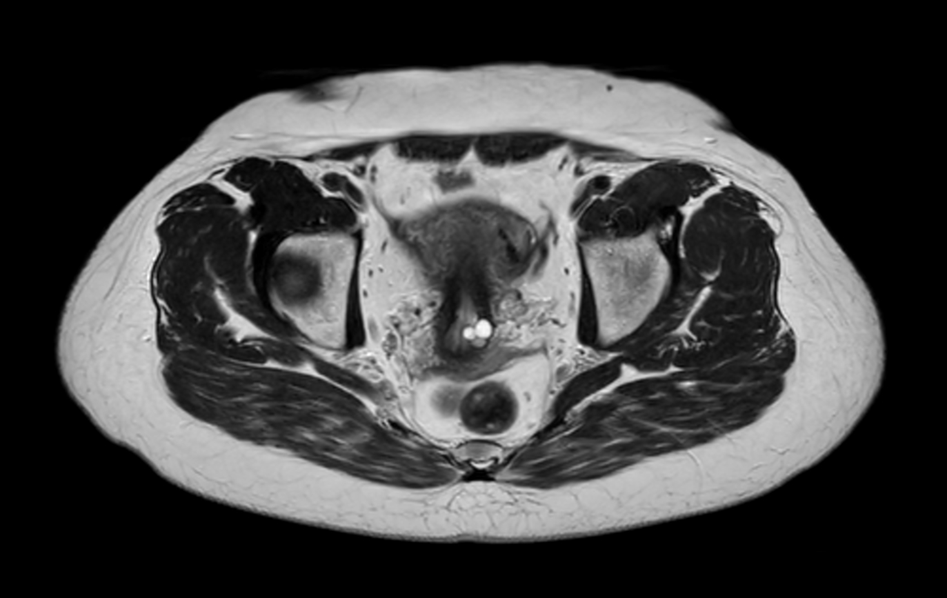
Axial T2w TSE
-
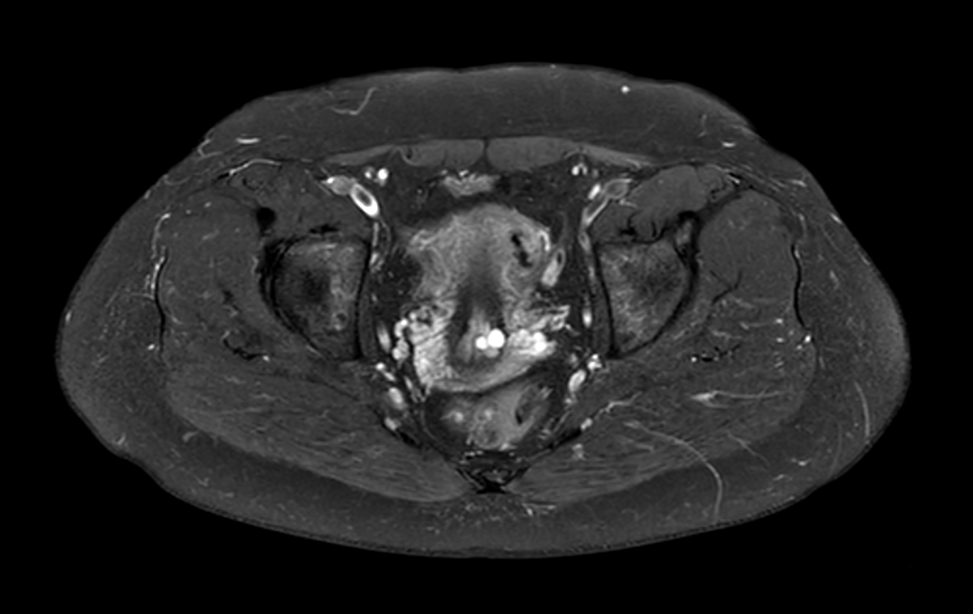
Axial STIR TSE
-
Axial T2w SPAIR
-
Axial T1w TSE
-
Axial T1w FFE mDIXON XD (Water only)
-
Axial T1w FFE mDIXON XD (Water only) - Short axis reformat
-
Axial T1w SPIR
-
Axial T1w FFE 3D VANE XD (mDIXON XD, Water only)
-
Axial T1w FFE 3D VANE XD (mDIXON XD, Water only) - Short axis reformat
-
Axial eTHRIVE
-
Axial eTHRIVE (high resolution)
-
Coronal T1w TSE
-
Sagittal T2w TSE MultiVane XD
-
Long axis T2w TSE
-
Short axis T2w TSE
Previous
Next
Close
Resolution
ScantimeObjective
*Results from case studies are not predictive of results in other cases. Results in other cases may vary.