Go back
Shoulder imaging with the dS 16ch Shoulder coil
University of Vermont, Burlington, USA
Patient information
Patient with a shoulder tear
Gallery
-
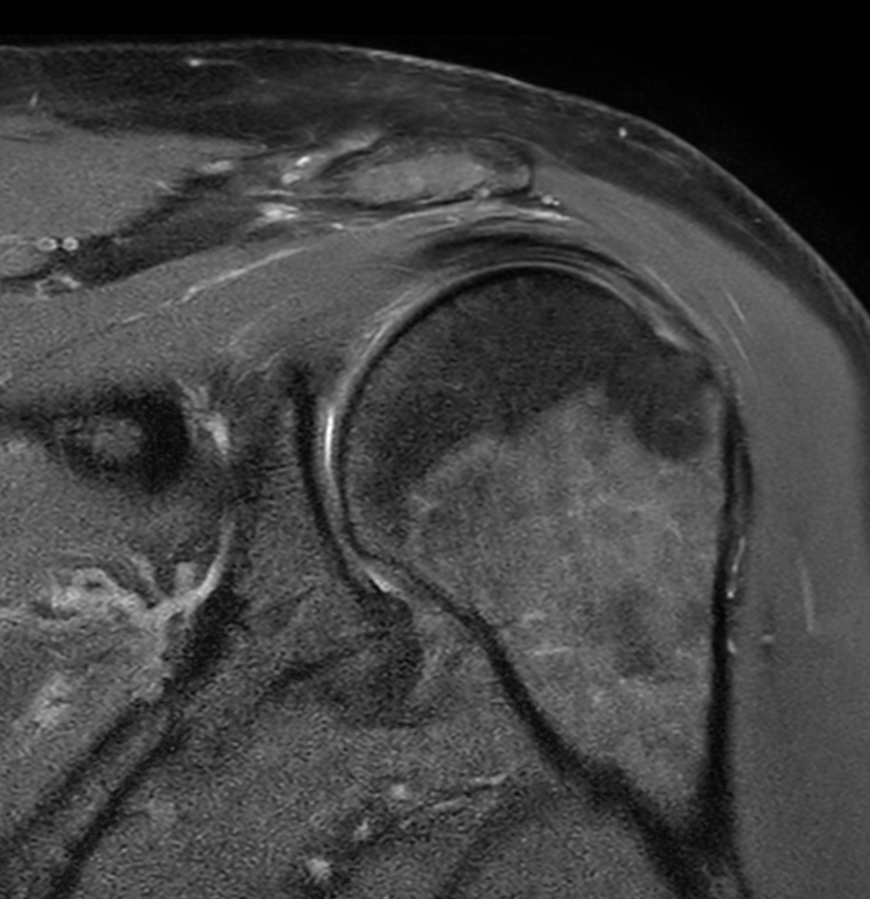
Coronal PDw aTSE
-
Motion-free shoulder imaging
-
Coronal PDw aTSE mDIXON XD (Water only)
-
Optimized fat sat sequences for shoulder
-
Axial T2w SPAIR
Previous
Next
Close
Resolution
ScantimeObjective
*Results from case studies are not predictive of results in other cases. Results in other cases may vary.