Go back
Brain astrocytoma post radiotherapy, incl. 3D APT
Mahajan imaging, Gurgaon, India
Patient information
Patient with a history of astrocytoma. MRI scan requested post radiotherapy treatment. Diagnosis: Recurrent neoplastic disease.
Gallery
-
Axial DWI (b1000)
-
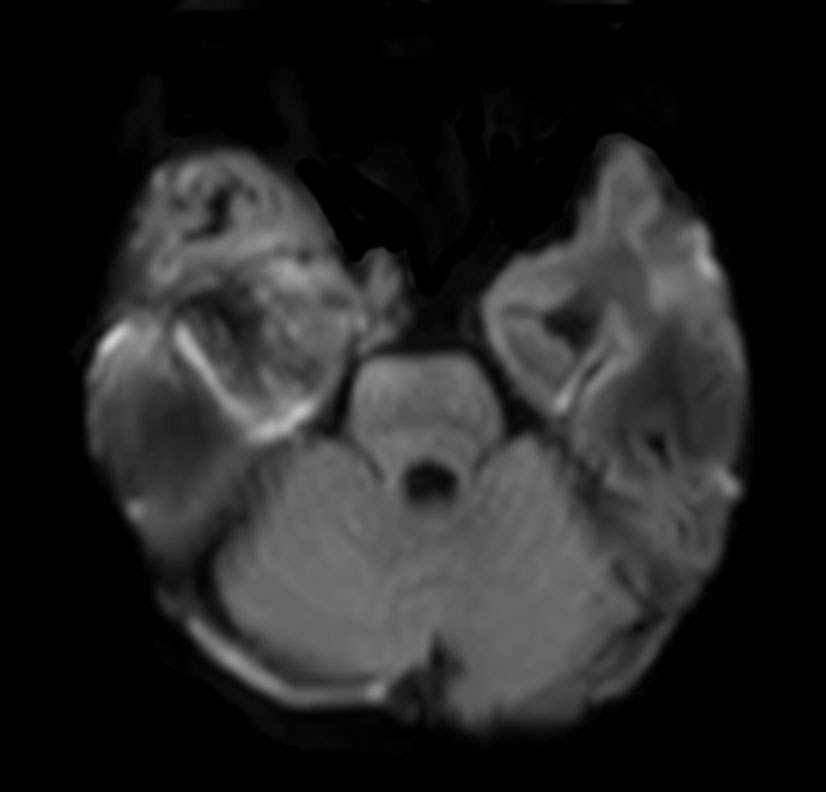
Axial DWI (ADC)
-
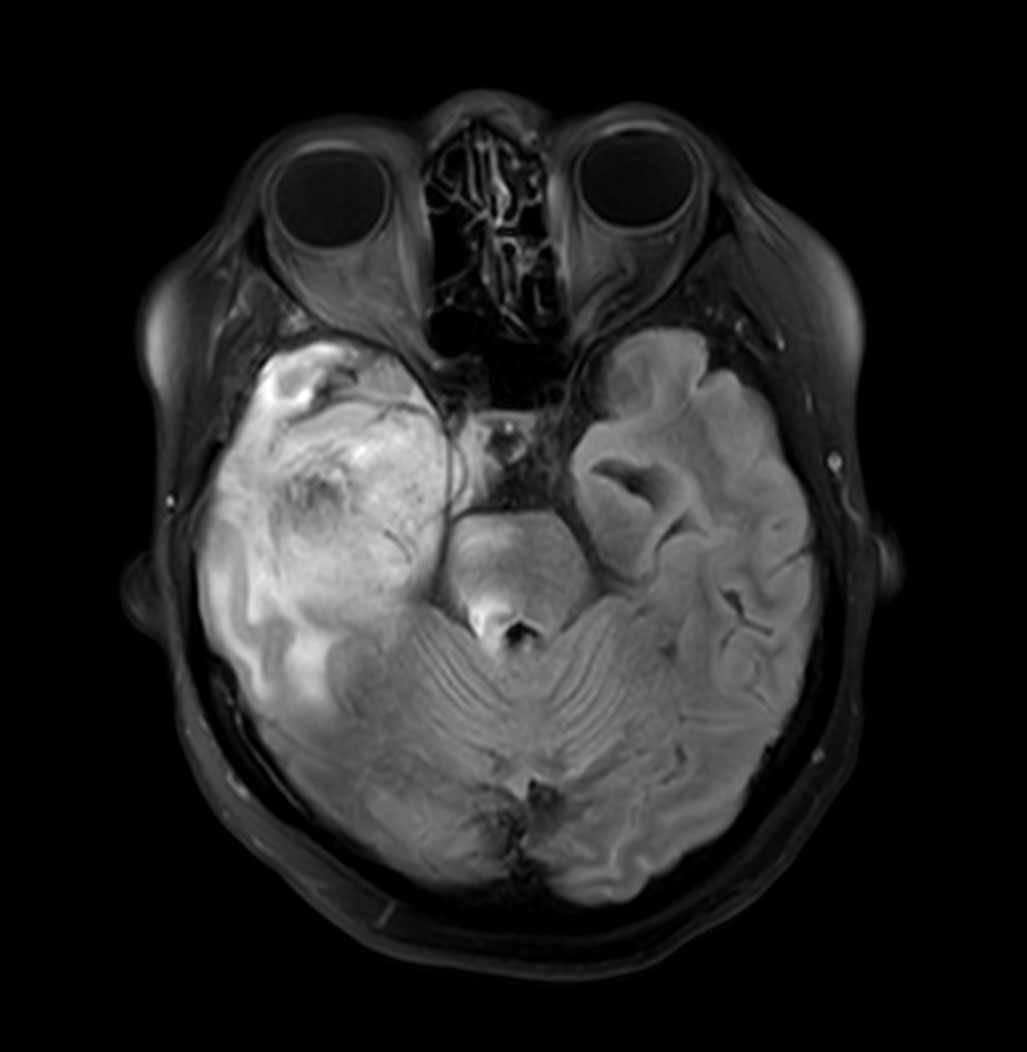
Axial T2w FLAIR
-
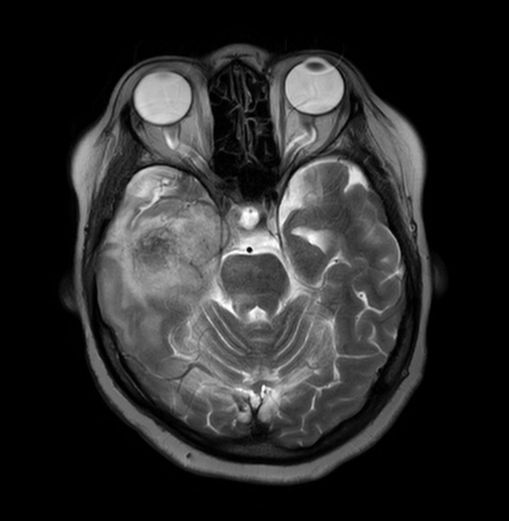
Axial T2w TSE
-
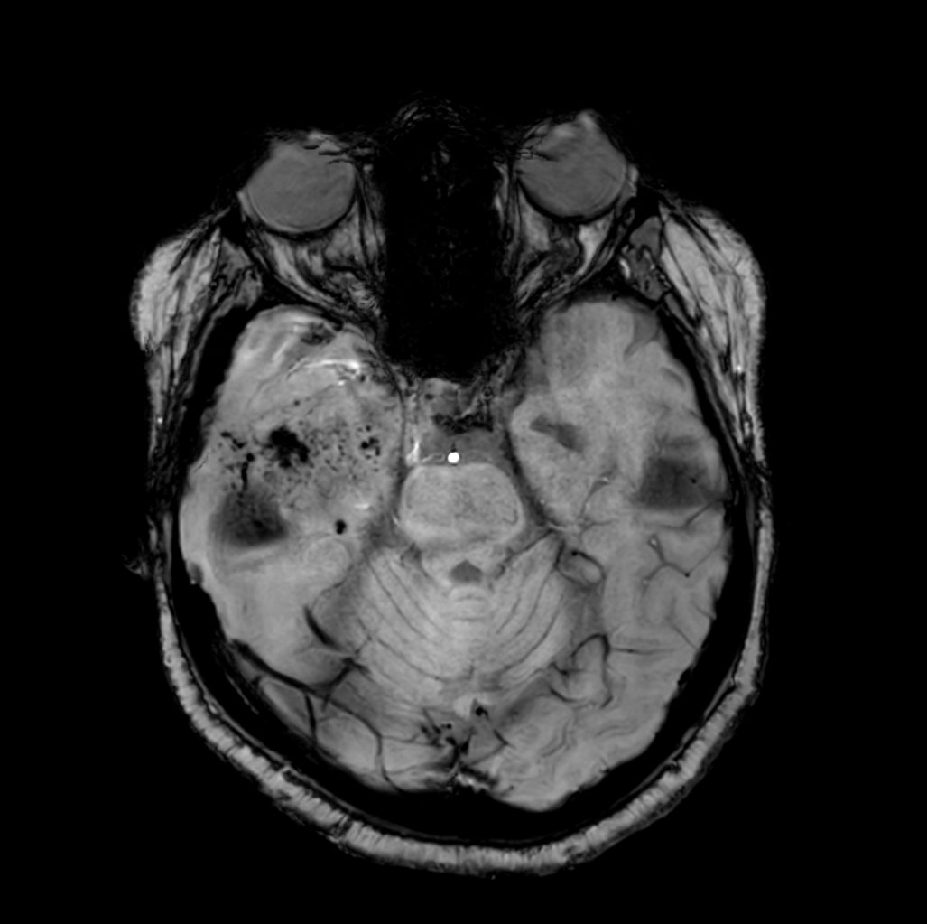
Axial SWIp
-
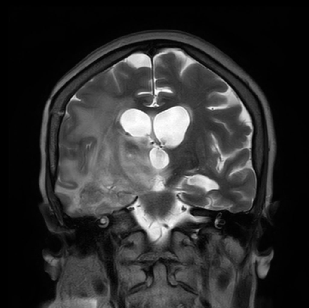
Coronal T2w TSE
-
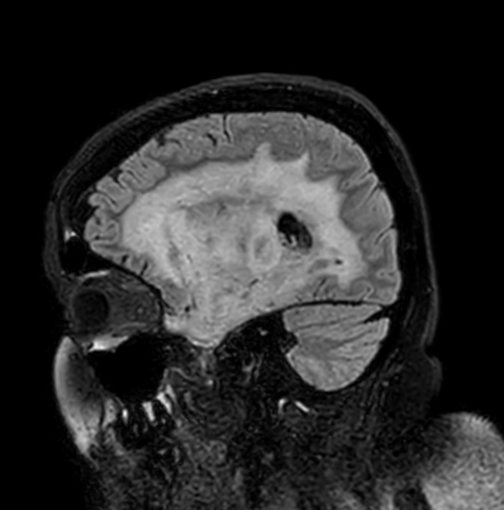
Sagittal 3D BrainVIEW FLAIR
-
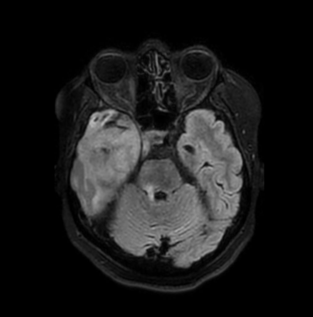
3D BrainVIEW FLAIR (axial reformat)
-
Axial 3D APT
-
Axial T2* Perfusion (Index)
-
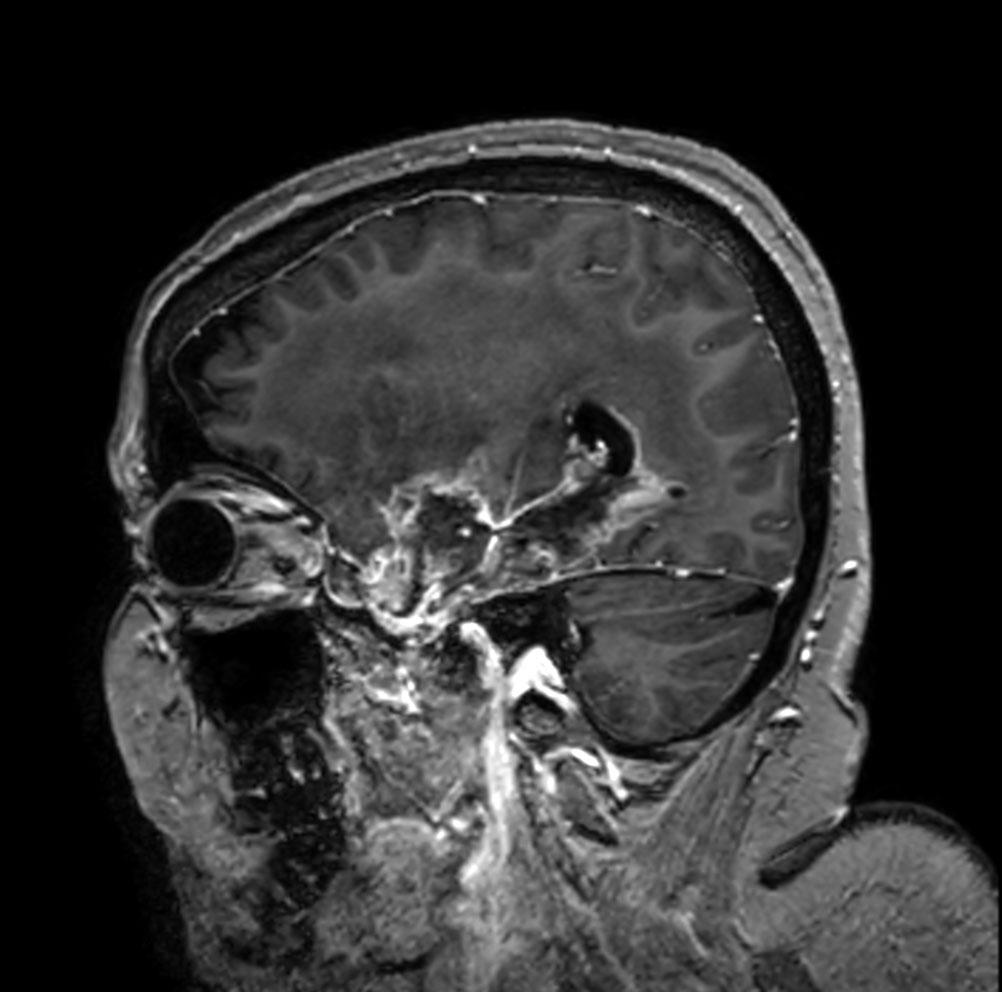
Sagittal T1w 3D TFE with gado
-
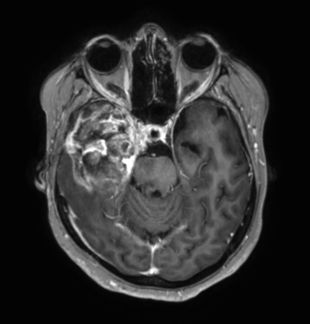
T1w 3D TFE with gado (axial reformat)
-
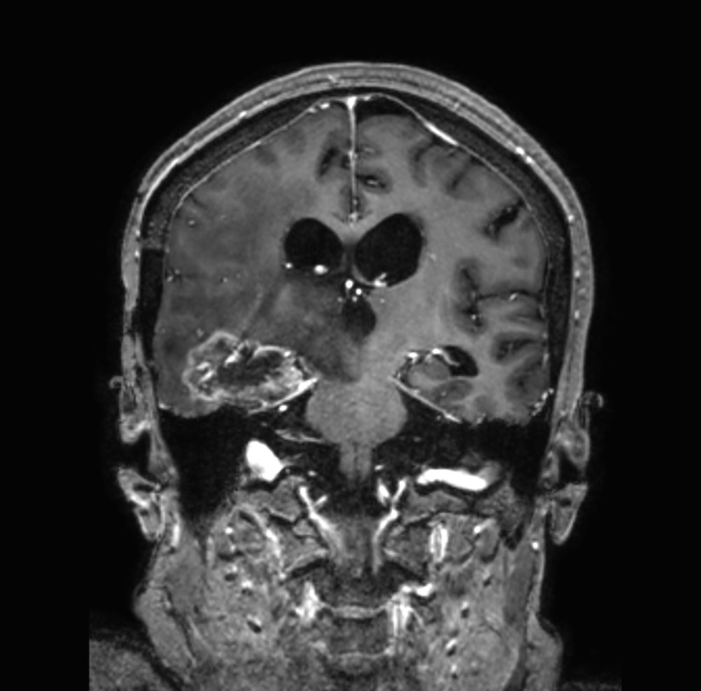
T1w 3D TFE with gado (coronal reformat)
-
Sagittal 3D BrainVIEW Black Blood
Previous
Next
Close
Resolution
ScantimeObjective
*Results from case studies are not predictive of results in other cases. Results in other cases may vary.