Go back
Brain lesion with 3D APT
Kantonsspital Winterthur, Switzerland
Gallery
-
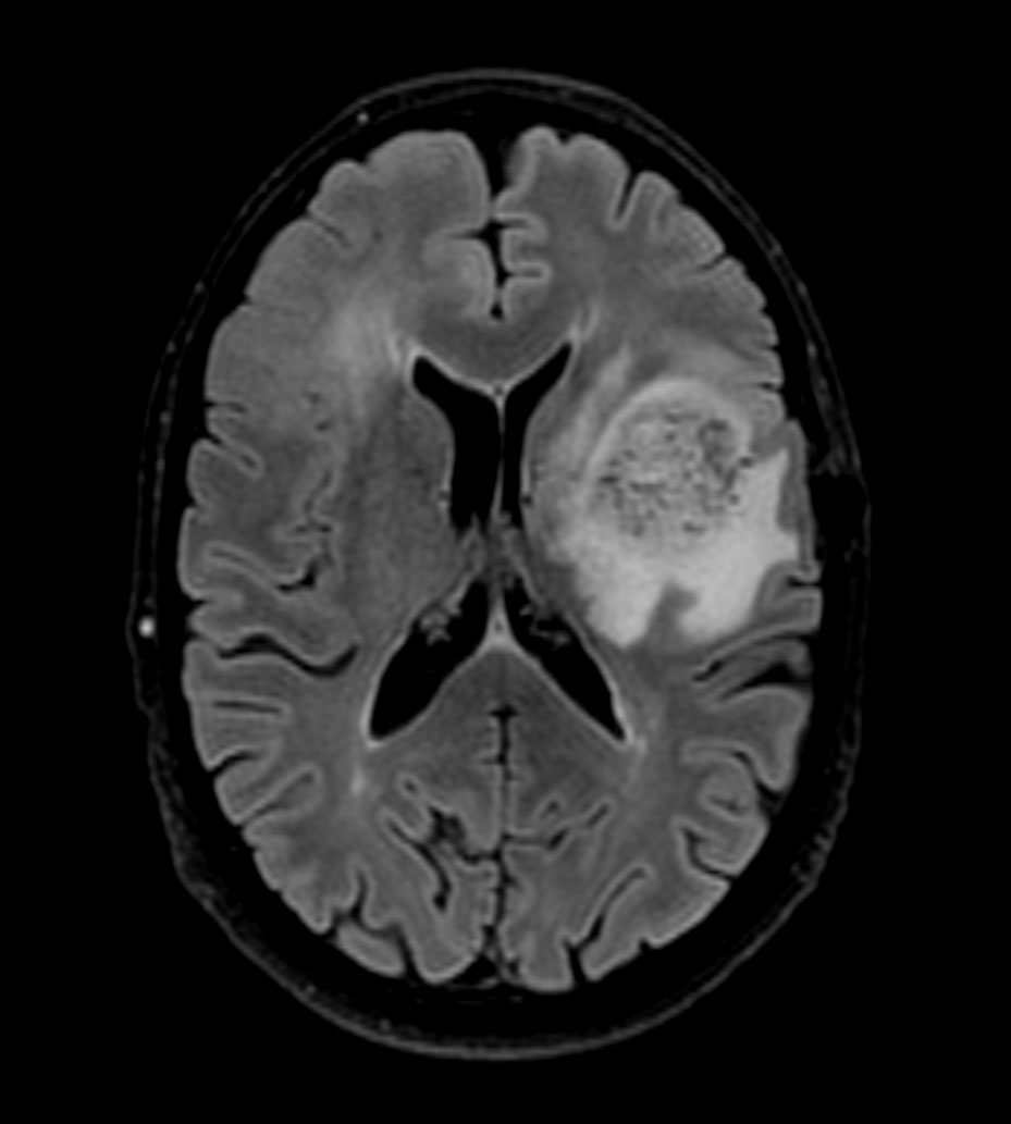
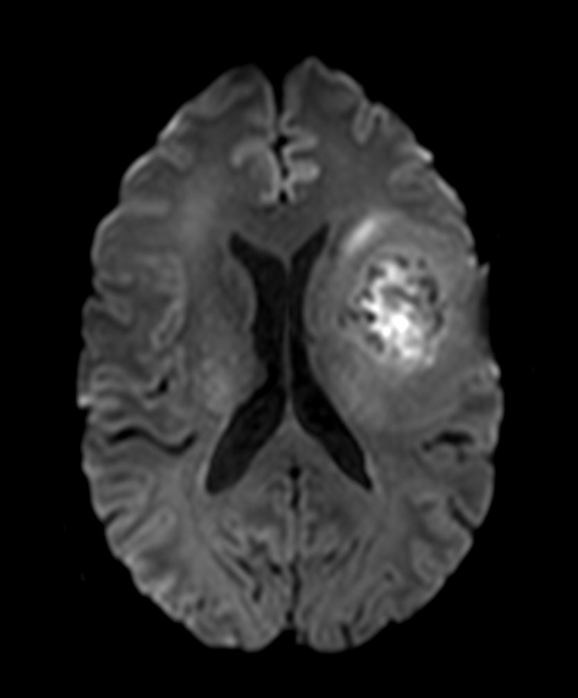
Axial DWI (b1000)
-
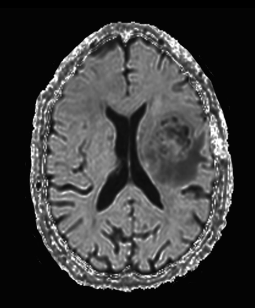
Axial DWI (ADC)
-
Axial DWI (eADC)
-
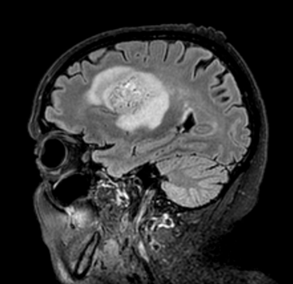
Sagittal 3D BrainVIEW FLAIR
-
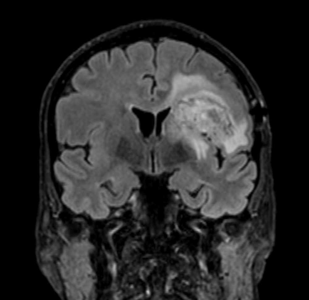
3D BrainVIEW FLAIR (coronal reformat)
-
3D BrainVIEW FLAIR (axial reformat)
-
Axial T2w MultiVane XD
-
Axial T1w IR TSE
-
Axial SWIp
-
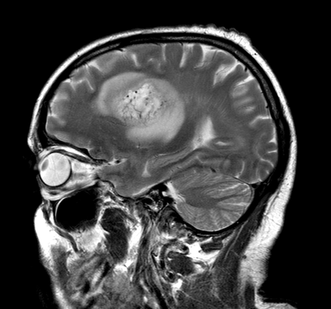
Sagittal T2w TSE
-
Axial 3D APT
-
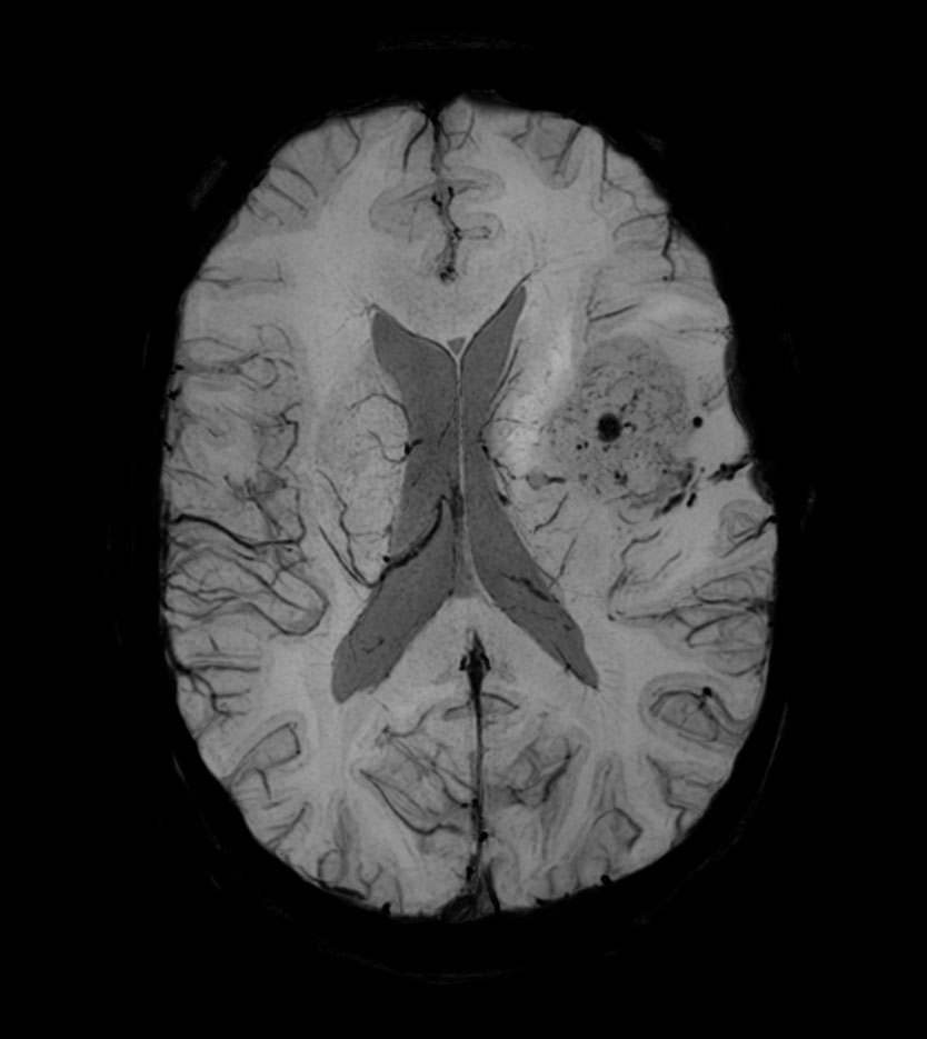
Axial T2* Perfusion (Index)
-
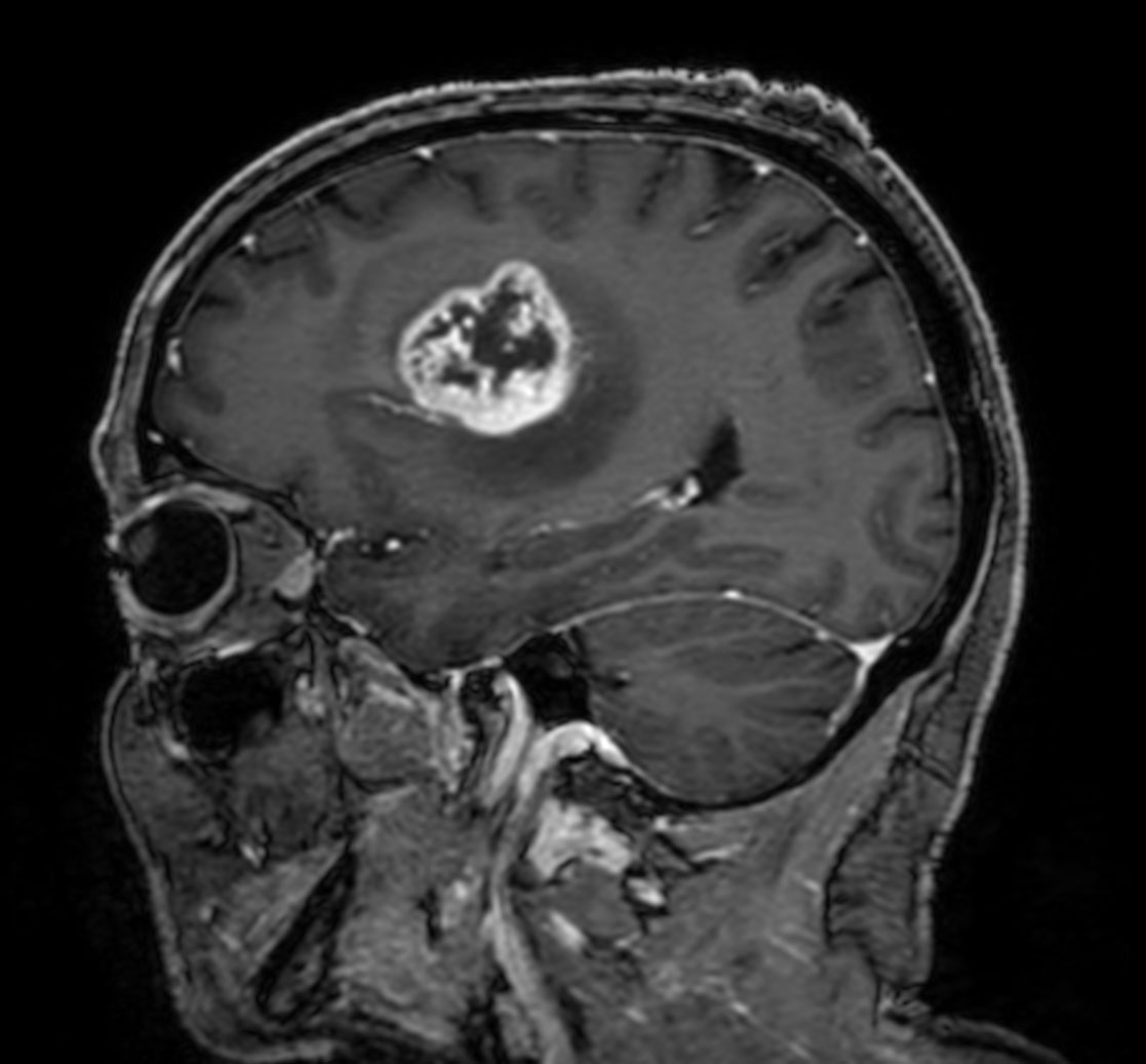
Sagittal T1w 3D TFE
-
T1w 3D TFE
-
T1w 3D TFE
Previous
Next
Close
Resolution
ScantimeObjective
*Results from case studies are not predictive of results in other cases. Results in other cases may vary.