Go back
Brain with glioblastoma, incl. 3D APT
Krankenhaus der Barmherzigen Brüder, Trier, Germany
Patient information
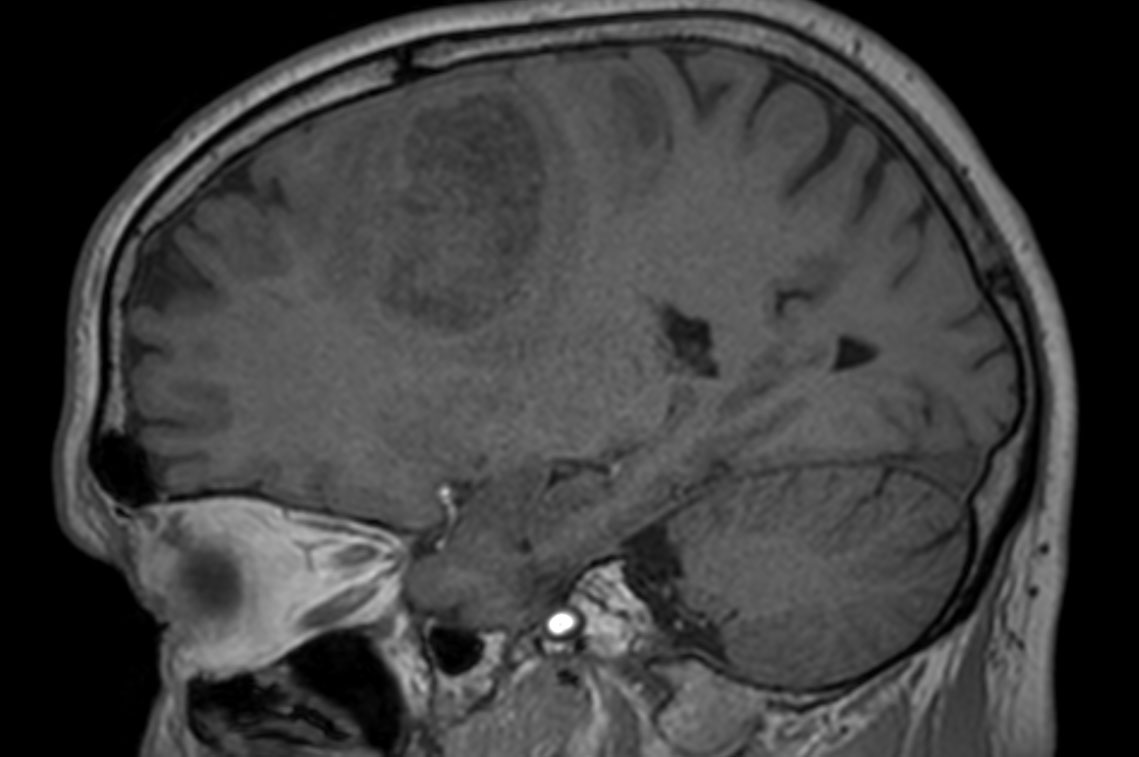
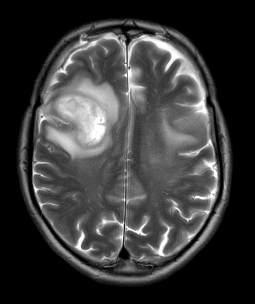
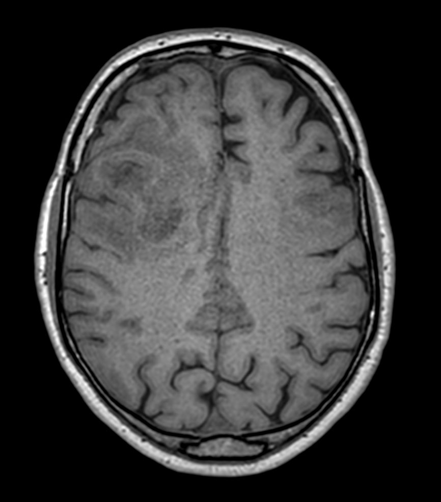
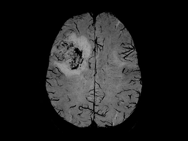
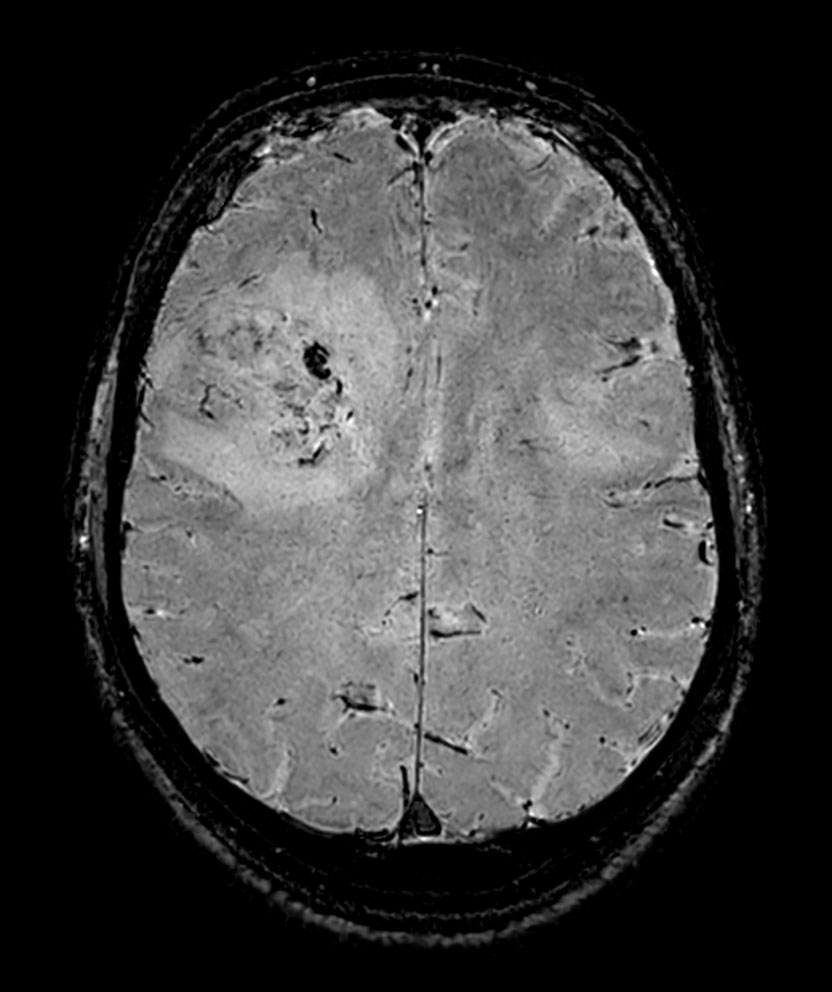
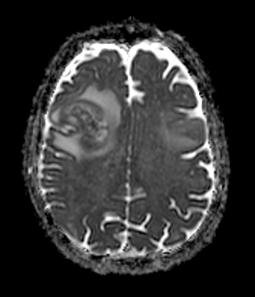
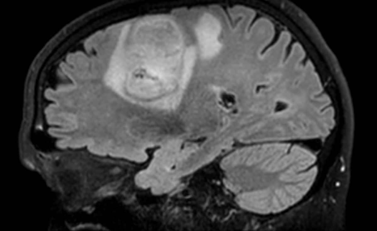
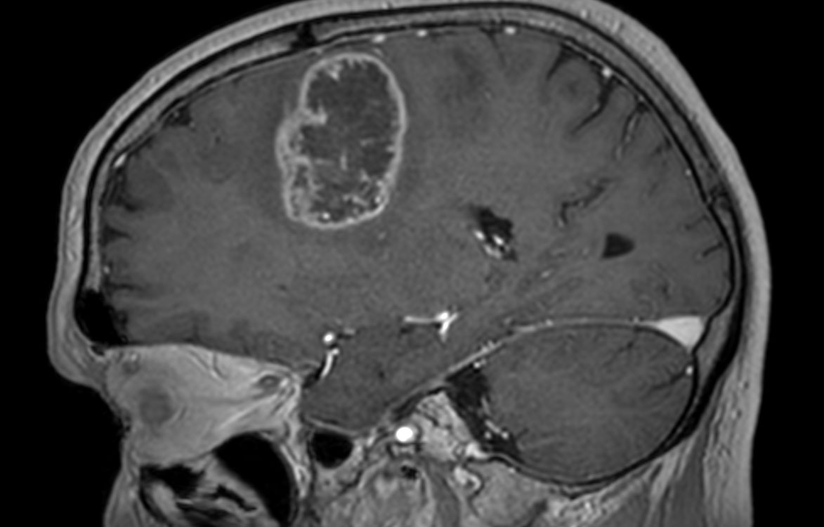
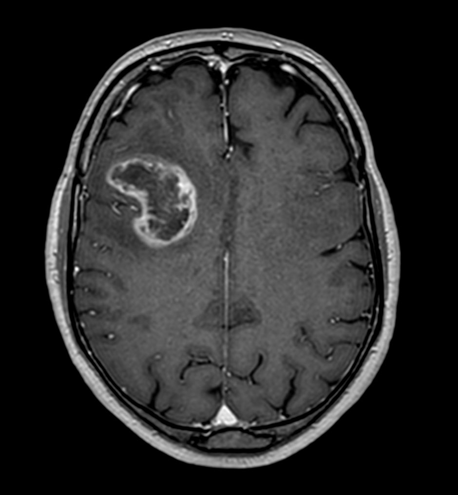
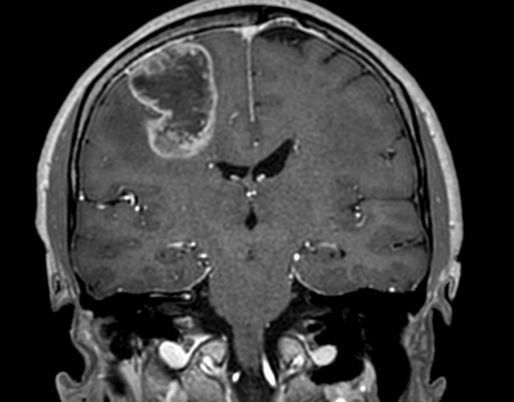
Patient with a revasculerized area with small bleedings. Diagnosed as malignant glioblastoom.
Gallery
-
Axial T2w MultiVane XD
-
Axial SWIp
-
Axial SWIp (Min IP)
-
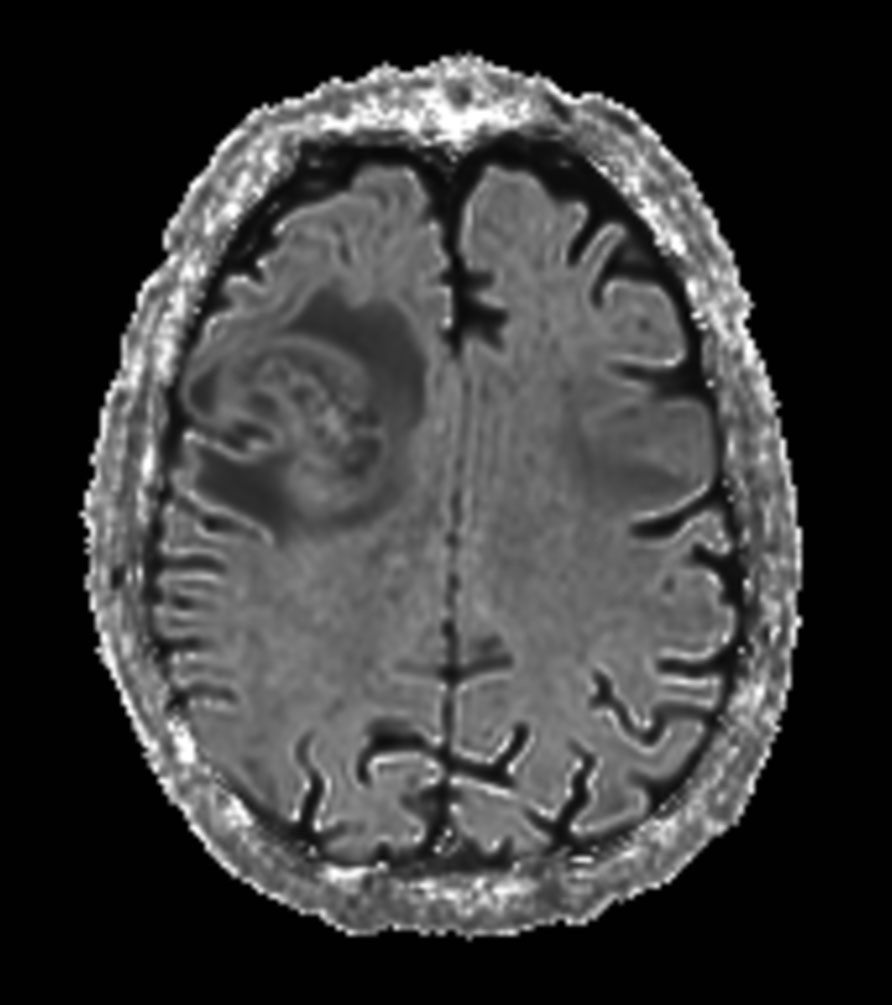
Axial 3D T1w TFE
-
3D T1w TFE (coronal reformat)
-
3D T1w TFE (sagittal reformat)
-
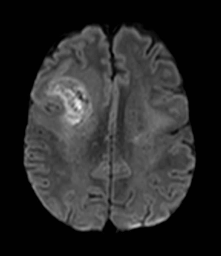
Axial DWI (b1000)
-
Axial DWI (ADC)
-
Axial DWI (eADC)
-
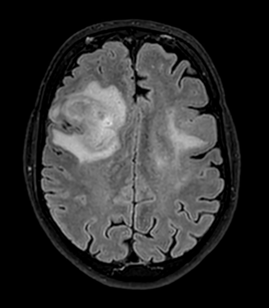
Axial 3D BrainVIEW FLAIR
-
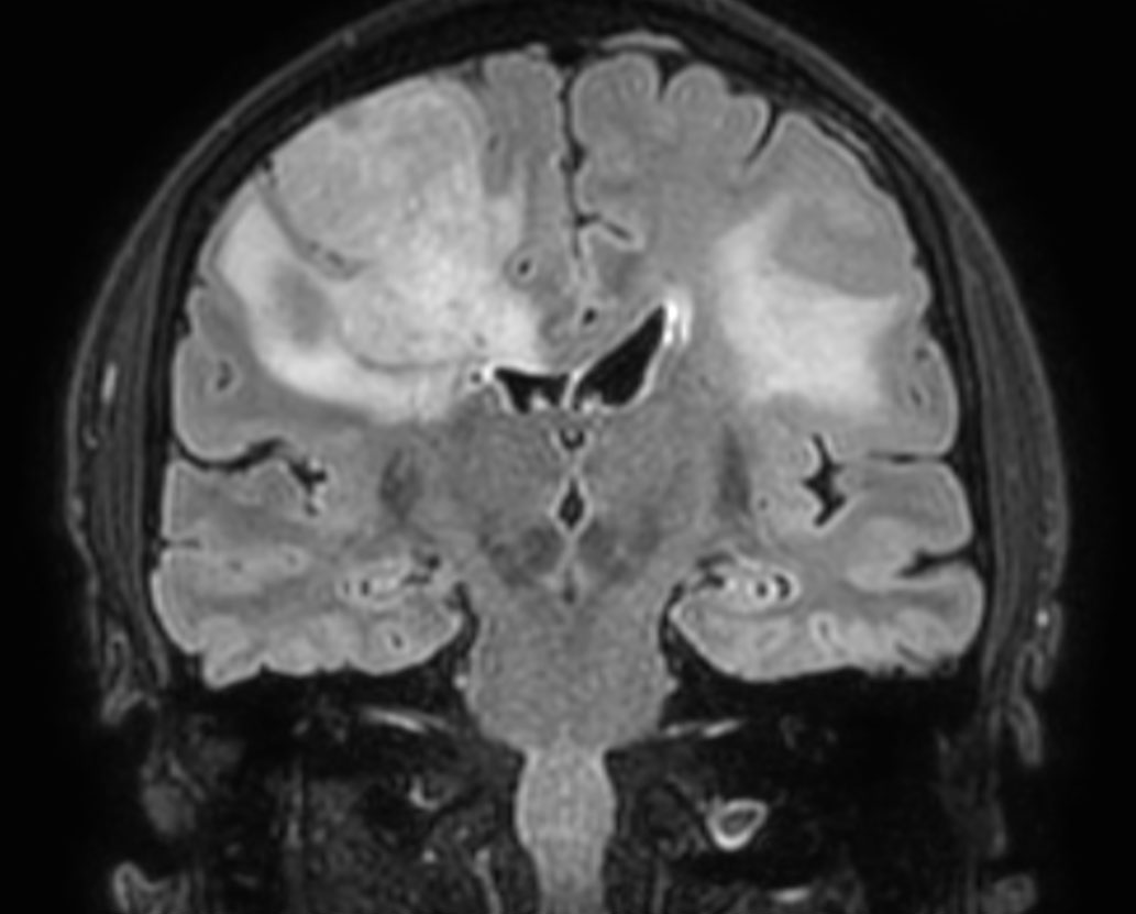
3D BrainVIEW FLAIR (coronal reformat)
-
3D BrainVIEW FLAIR (sagittal reformat)
-
Axial DTI FiberTrak (FA)
-
DTI FiberTrak
-
DTI FiberTrak
-
Axial 3D APT
-
Axial T2* Perfusion (Index)
-
Axial T2* Perfusion (NI)
-
Axial 3D T1w TFE with gado
-
3D T1w TFE with gado (coronal reformat)
-
3D T1w TFE with gado (sagittal reformat)
Previous
Next
Close
Resolution
ScantimeObjective
*Results from case studies are not predictive of results in other cases. Results in other cases may vary.