Go back
        Brain lesion with Compressed SENSE
        
            University Hospital Geneva, Switzerland        
     
    
    
    
        Gallery
        
    
        - 
      
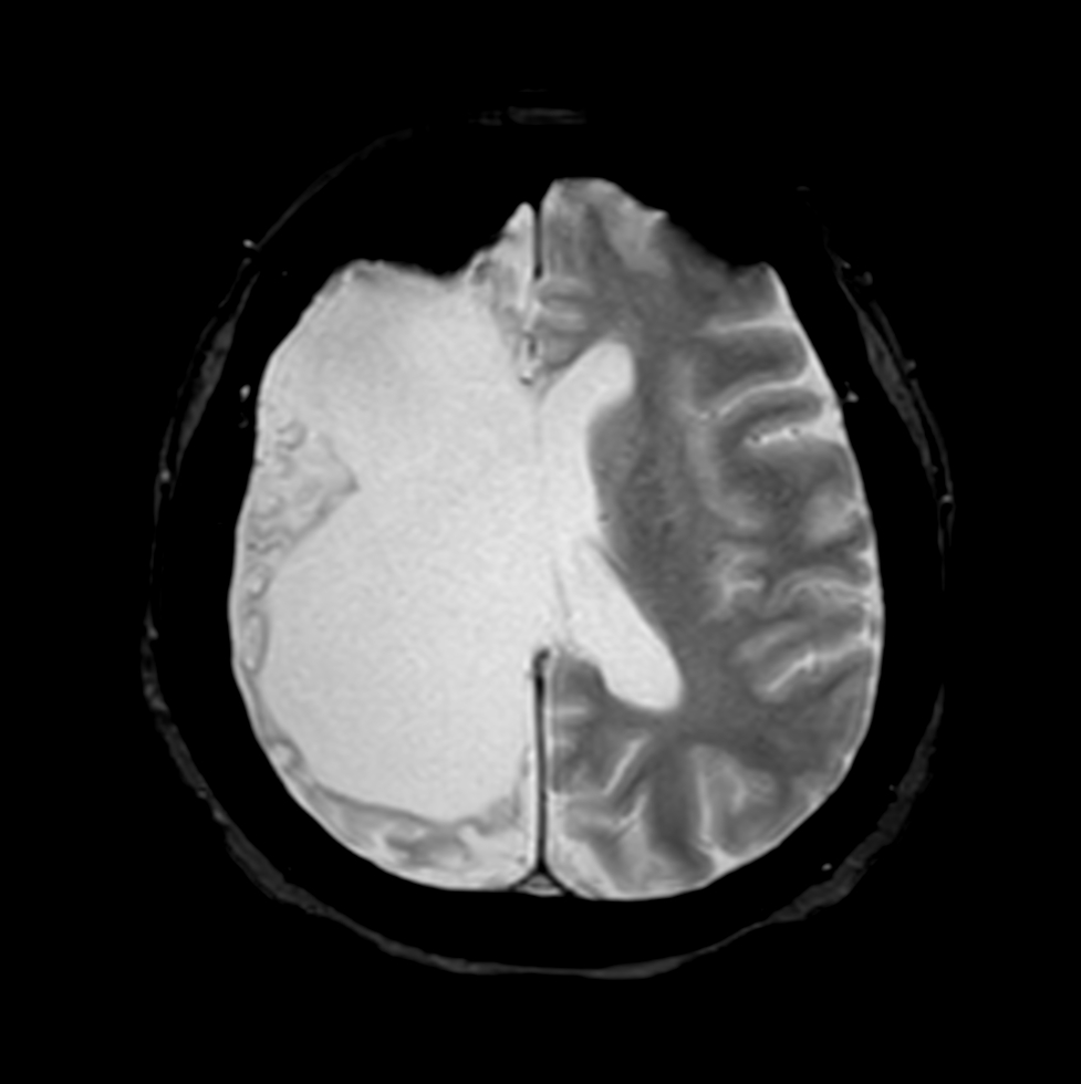
         Axial T2w TSE
- 
      
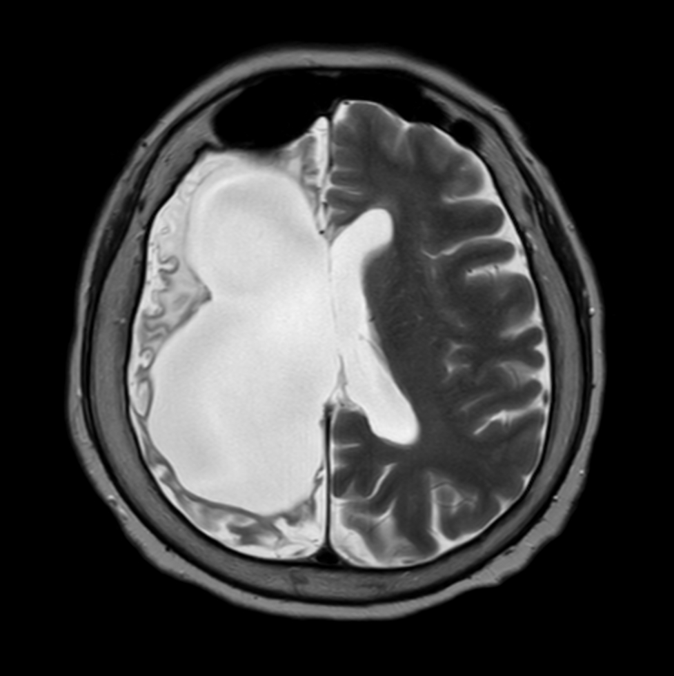
         Axial T2w FFE
- 
      
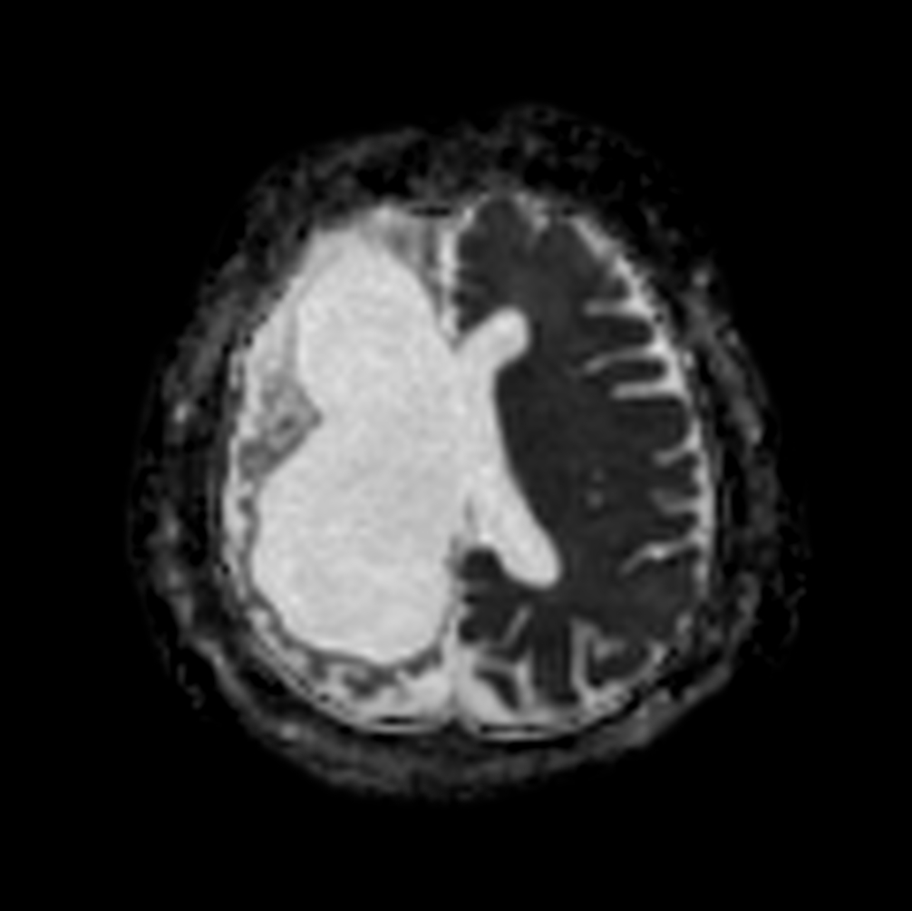
         Axial DTI (b1000)
- 
      
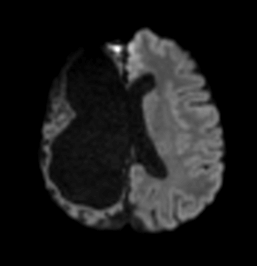
         Axial DTI (ADC)
- 
      
         Axial DTI FiberTrak (32 directions)
- 
      
         DTI FiberTrak (32 directions)
- 
      
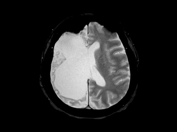
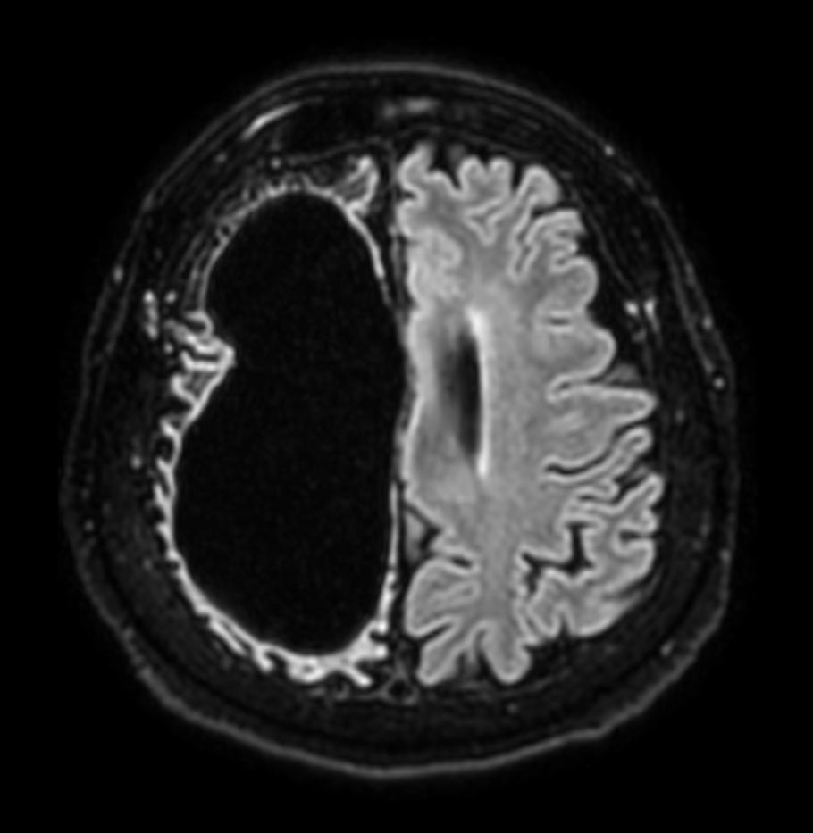
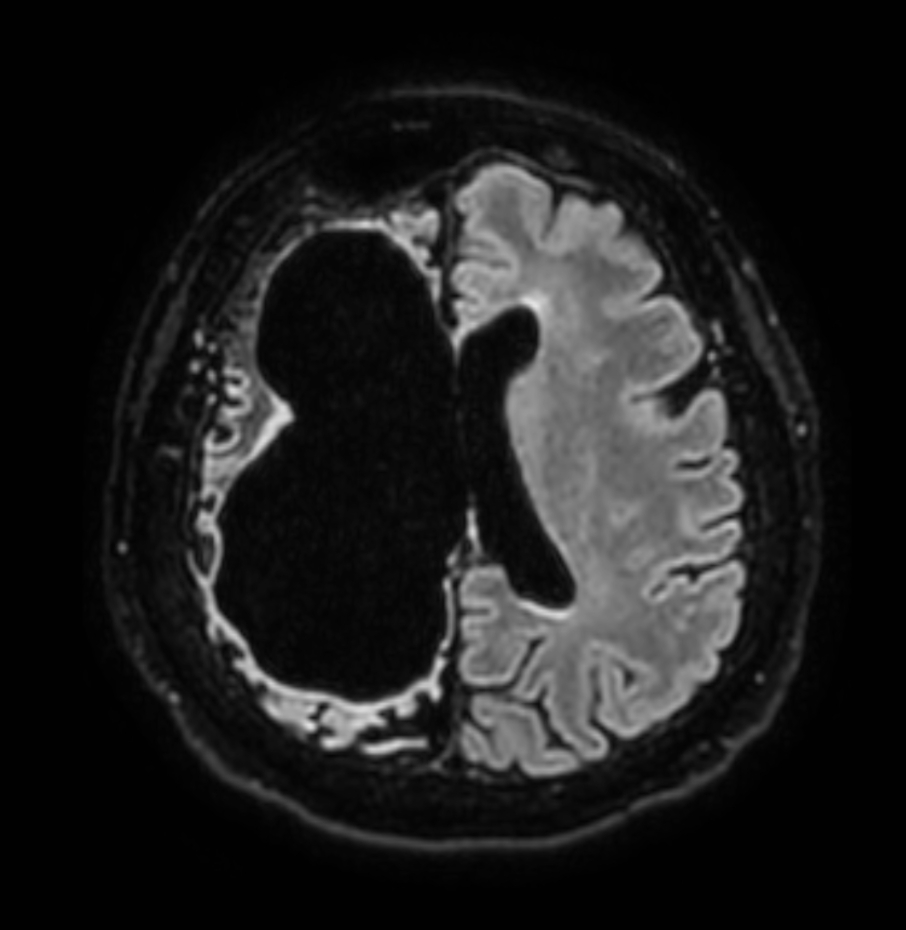
         Axial 3D BrainVIEW FLAIR (without Compressed SENSE)
- 
      
         Axial 3D BrainVIEW FLAIR (Compressed SENSE)
- 
      
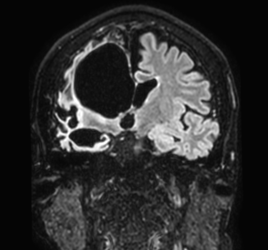
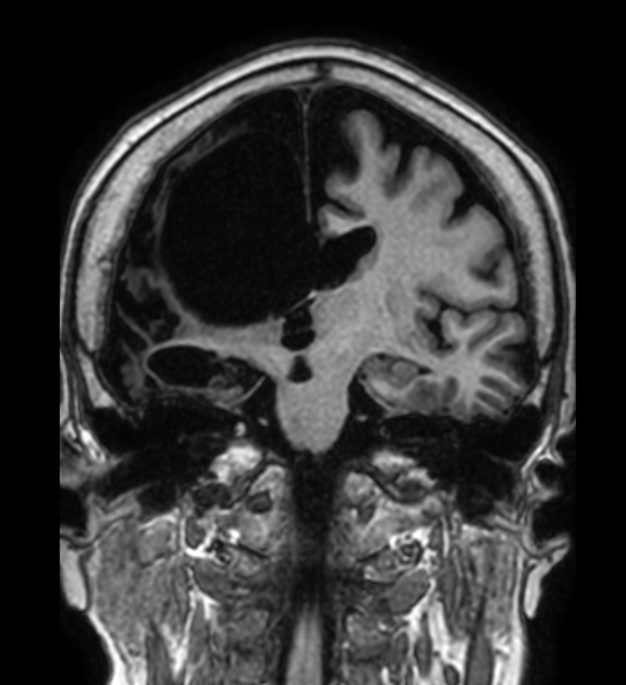
         Coronal 3D BrainVIEW FLAIR (without Compressed SENSE)
- 
      
         Coronal 3D BrainVIEW FLAIR (Compressed SENSE)
- 
      
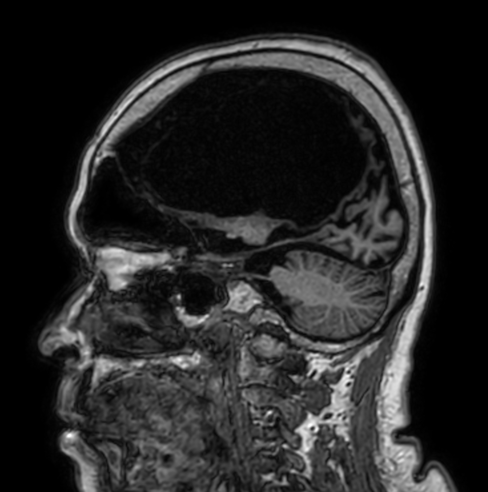
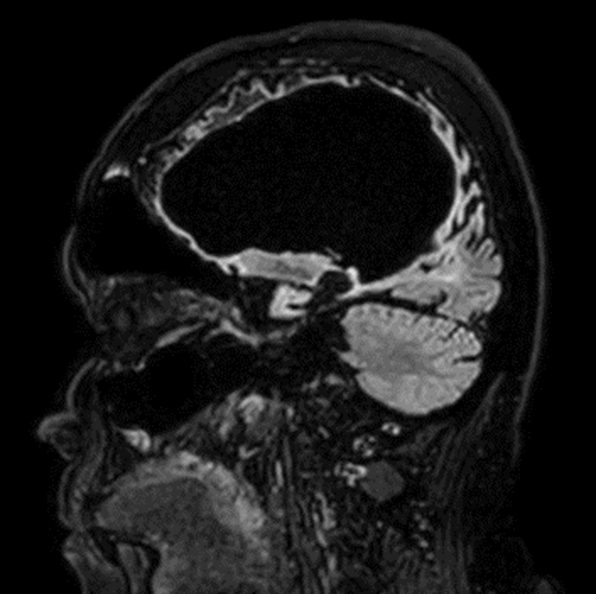
         Sagittal 3D BrainVIEW FLAIR (without Compressed SENSE)
- 
      
        Sagittal 3D BrainVIEW FLAIR (Compressed SENSE)  
 
- 
      
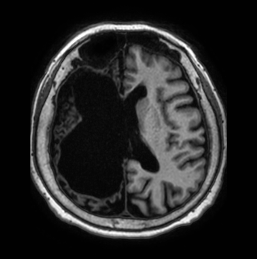
         Axial T1w 3D TFE
- 
      
         Coronal T1w 3D TFE
- 
      
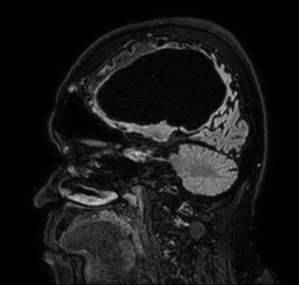
         Sagittal T1w 3D TFE
Previous
    Next         
    
    Close
    
    
        
        Resolution
ScantimeObjective
    
     
             
    
        
            *Results from case studies are not predictive of results in other cases. Results in other cases may vary.
 1Compared to scans without Compressed SENSE
Results from case studies are not predictive of results in other cases. Results in other cases may vary.