Go back
Female Pelvis overview
Seirei Mikatahara General Hospital, Japan
Gallery
-
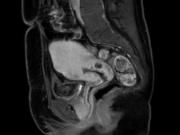
Sagittal MultiVane XD - T2w TSE
-
Sagittal DWI (b800)
-
Coronal MultiVane XD - T2w TSE
-
Axial MultiVane XD - T2w TSE
-
Axial MultiVane XD - T1w TSE
-
Axial DWI (b800)
-
Axial mDIXON XD - T1w FFE (Water only)
-
Axial mDIXON XD - T1w FFE (In Phase)
-
Axial mDIXON XD - T1w FFE (Out Phase)
-
Sagittal mDIXON XD - T1w FFE plus gado (Water only)
-
Coronal mDIXON XD - T1w FFE plus gado (Water only)
-
Axial mDIXON XD - T1w FFE plus gado (Water only)
Previous
Next
Close
Resolution
ScantimeObjective
*Results from case studies are not predictive of results in other cases. Results in other cases may vary.
Ingenia Prodiva is not available for sale in the USA.